
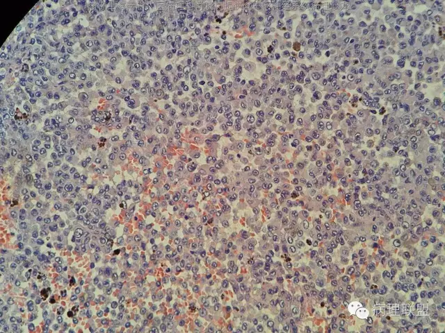
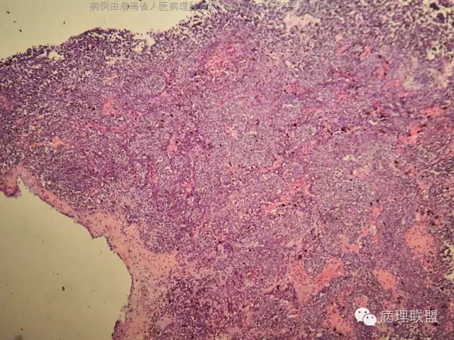
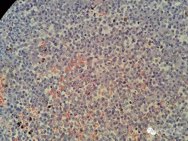
男,36岁。右面部麻木1月余。手术所见:右CPA区见5Ⅹ4cm肿块,灰褐色,血供丰富,质韧,界清。临床诊断:右侧桥小脑角区占位:脑膜瘤。大体检查:灰黑色碎组织一堆,大小2.5Ⅹ2.5x0.5cm,免疫S100,HMB45阳性。Ki67指数低。(病例由海南省人医病理科肖晓岚提供,致谢!)


这张图像和后三张怎么不一样差别辣么大,前几张弥漫的组织细胞样细胞,后几张呈巢的
@海南省人医病理科肖晓岚 同意黑色素细胞瘤。
前4张是一个视野,后4张是另一个视野。是同一个人。@周泉
注意结合临床影像,镜下看有无累及周围组织,如有的话,级别要考虑升高
同意脑膜黑色素细胞瘤
10多岁的时候,因为右眼角蓝痣,做过激光。现在那颗痣还在,没什么改变。痣的大小有拇趾那么大。
@海南省人医病理科肖晓岚 影像也是符合黑色素相关肿瘤,可请影像专业的老师分析一下CT结合MR对产生黑色素的病变还是具有一定的特征性的,本例黑色素含量似乎不太多,所以跟脑膜瘤差不太多了,需要请影像老师分析!
因为S100,HMB45均阳性,形态也不象色素性神经鞘膜瘤,还是要考虑黑色素的肿瘤吧。S100广泛的阳性,EMA,pR不阳,不支持脑膜瘤吧@福建医大附一病理.王行富
@海南省人医病理科肖晓岚 嗯,黑色素细胞肿瘤,核分裂计数?
罕见吧,一张片都数完了,也没见一个确定的核分裂@福建医大附一病理.王行富
不过,有不少的炎症细胞,中粒比较多
@海南省人医病理科肖晓岚 那就黑色素细胞瘤



























