
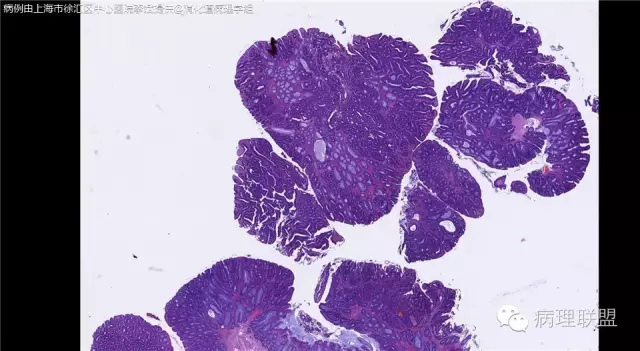
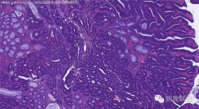
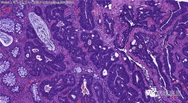
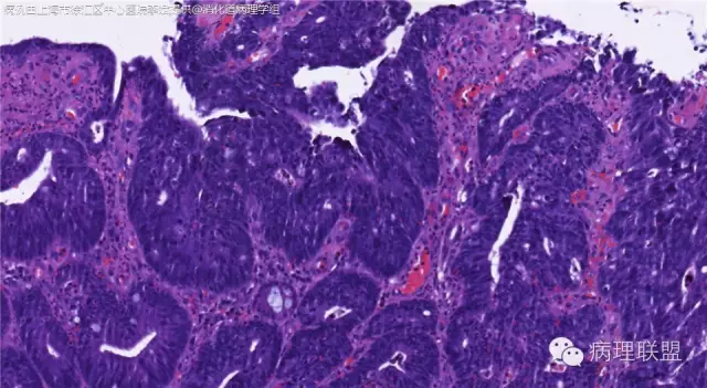
男,72岁,距肛门口30cm息肉。大体:灰白结节1.5*1*0.8cm拟发管状腺瘤并部分区高级别,请各位老师指导!(病例由上海市徐汇区中心医院 李斌 提供,致谢!)
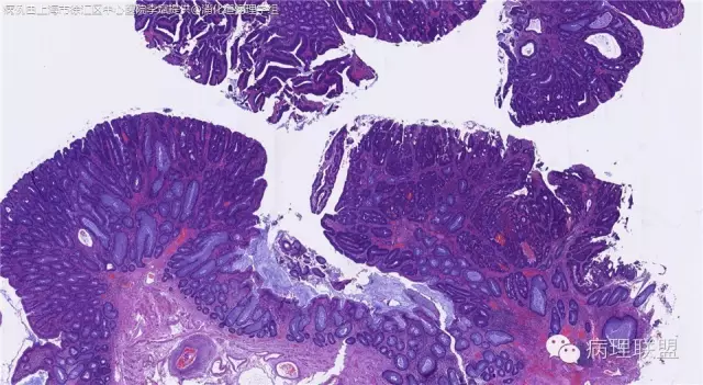
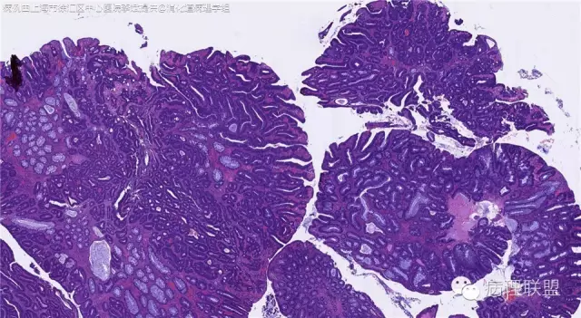
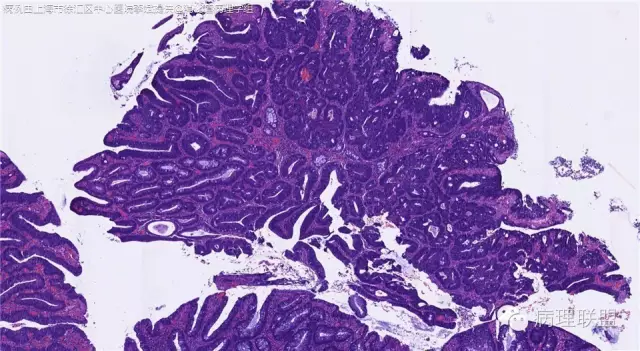
这一例有两种不同看法,按WHO标准,为高级别,按实际工作,要发粘膜内癌。WHO第三版与第四版均提出,侵犯至粘膜下层才能诊断为癌,声称结直肠粘膜内没有淋巴管,发生转移的概率较小,但是粘膜内有血管,肿瘤侵出粘膜腺体基膜以外,就能侵犯血管,照样可以发生血道转移。文献报告与我们的工作实践,发现腺瘤、高级别(没有侵出基膜)的患者,同样有发生血道转移。因此,我们废弃了这一条WHO标准(不是所有的WHO标准都是一定要执行的)。只要异型增生腺体呈毛刺状、迷芽状侵出粘膜腺体基膜,位于粘膜肌层以内,就发粘膜内癌。
至于临床选择EMR、ESD或肿瘤根治术,视具体情况而定,都值得赞赏,权当为全世界标准的建立提供临床实践证据。
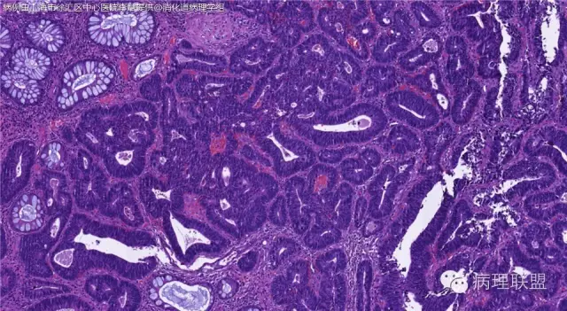
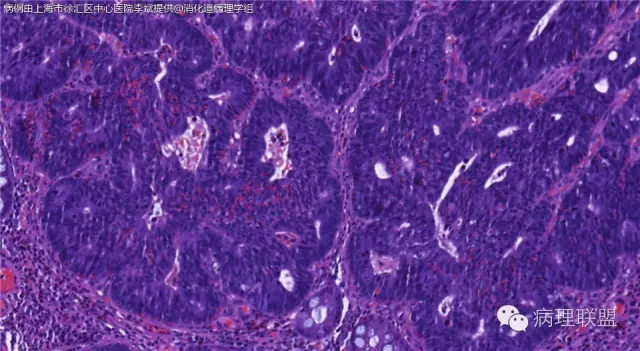
@邓永键 非常正确!实际上,结直肠粘膜内有淋巴管。另外,我们活检标本完全按照原来标准诊断诊断癌,手术后证明全部正确,没有一例过诊断!
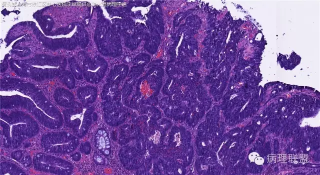
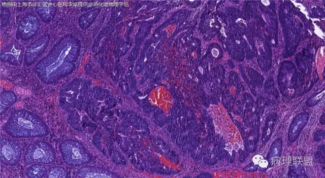
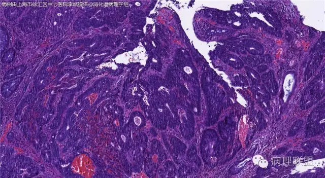
@李斌 结肠腺瘤这例我认为已经有黏膜下浸润了,因为有些腺体间的间质已经不是固有膜间质而是促结缔组织增生反应的间质了。但即使有浸润癌,如果息肉完整摘除、癌成分分化好、没有脉管瘤栓、浸润癌距切缘大于1mm(日本标准还要看浸润癌超出黏膜肌深度和肿瘤出芽情况),也不需要进一步治疗。所以,对于这类可能存在争议的病变,特别是息肉已经完整切除的病例,诊断的关注点就应该放在寻找需不需要进一步治疗的证据上了。@邓永键 2010版WHO在腺瘤部分的陈述中已经写出对于有局灶浸润性生长的病例也可以称黏膜内癌,他们在悄悄的让步。
























