
亚专科 ▪ 微信汇
F/67 胰体尾肿瘤--实体型浆液性微囊性腺瘤
作者:管理员
时间:
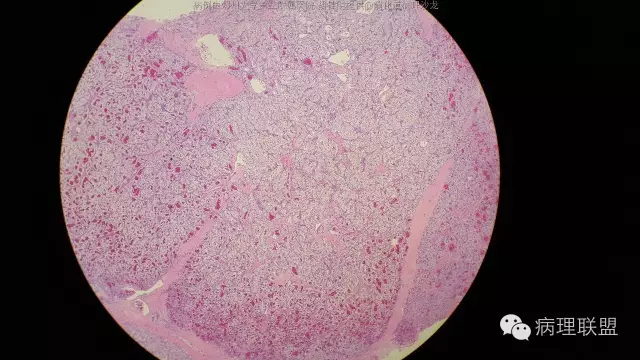
女,67岁,体检发现胰体尾肿瘤(病例由郑州大学附属第二医院 胡桂明提供)
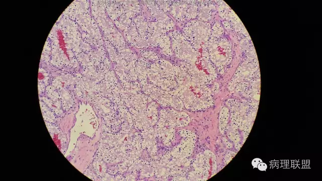
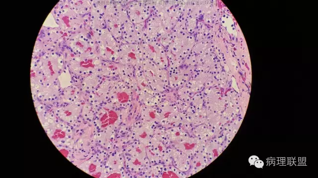
实体型浆液性微囊性腺瘤
鉴别
CCRCC
腺泡细胞癌
目前标记:CK7, CA9, CKp, EMA 阳。
PAX8,CD10如何
PaX8, CD10, 阴
支持实体型浆液性
RCC,P504S,, CgA, SyN阴。
补个大体
膨胀性生长伴分叶结构
上一篇:
胆囊炎中绚丽的良性印戒细胞变化
下一篇:
F/74 左乳外上肿块--任玉波语音解读















