
亚专科 ▪ 微信汇
F/35--长骨软骨肉瘤?
作者:管理员
时间:
F/35(病例由东莞东华医院病理科 果海娜提供,致谢!)

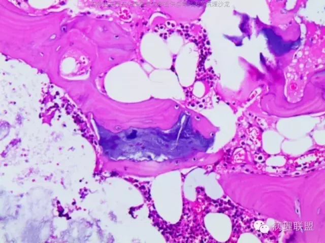
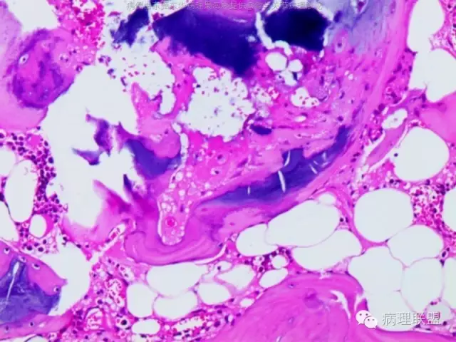
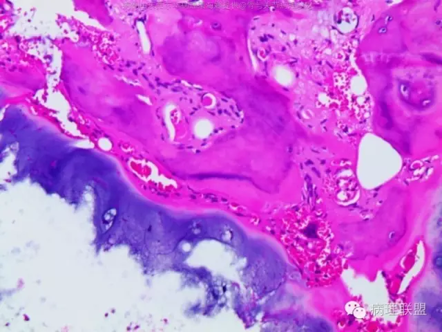
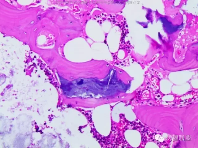
@东莞东华病理果海娜 ,组织学异型不明显,灶性粘液变,骨包软骨,但影像第二张显示可疑皮质侵犯,肿瘤体积较大,故考虑不典型软骨性肿瘤/软骨肉瘤I级
感觉侵袭的证据不太足呢,不过肿瘤确实比较大了
病变长轴与直径比例约4:1恐不善良。
@301病理 王昀 ,请我院影像科骨肿瘤专科教授看了,影像倾向高分化软骨肉瘤
@中山大学附一院病理李扬 我看不太好皮质侵犯,就觉得长轴太长了
@东莞东华病理果海娜 ,组织最好多些取材,能组织学上看到肿瘤包骨的侵袭性生长就更好了
长骨的软骨性肿瘤长度大于5cm至少诊断软骨肉瘤1级

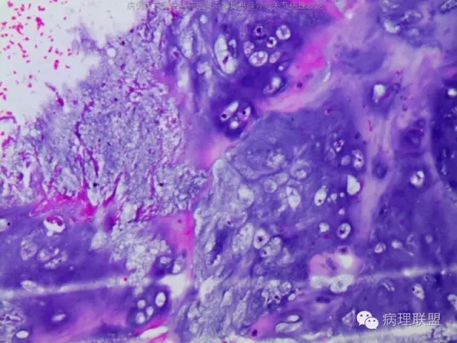
@张惠箴上海六院 这张能说明软骨肿瘤侵犯松质骨吗?这两张能理解成软骨周围有宿主对软骨肿瘤的纤维反应吗?


在深圳听了您的课实际领会一下,多谢指教
建议你再多取一点材,这张照片不是很典型,也许不是显微镜下看,有差异小叶软骨周围至少不像骨包绕@东莞东华病理果海娜

























