
亚专科 ▪ 微信汇
M/46 右上肺肿块(MIAorAIS?)
作者:管理员
时间:
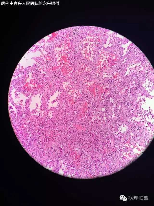
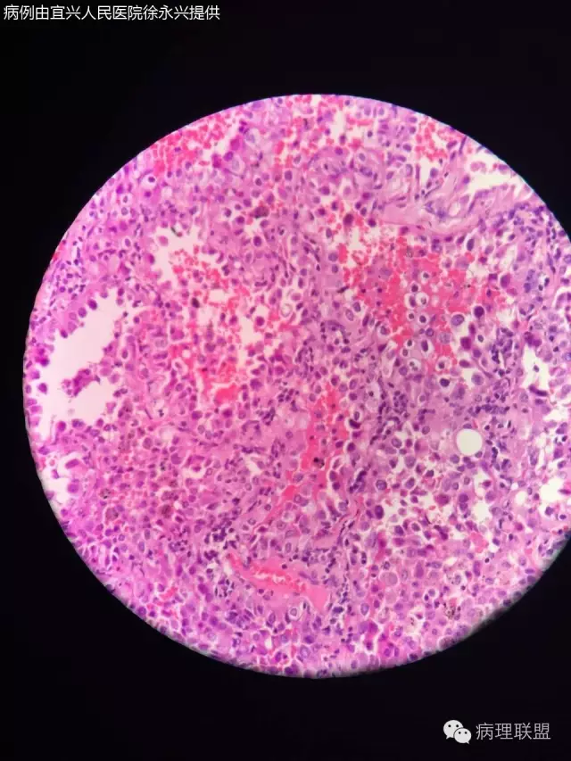
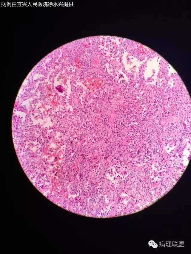
右上肺肿块 大小约1CM,体检发现 男性 46岁(病例由宜兴人民医院 徐永兴 提供,致谢!)
@徐永兴 估计有人打MIA,有人打AIS。个人倾向前者。两者临床处理及预后没有差别
@周泉 ,嗯,我也有点纠结
组织固定不好,细胞都脱落到腔里了,这两个打那个对临床处理一样。主要看有无小于5mm的明确浸润灶。
是呀,我主要拍的区域就是有无间质纤维化区域,纤维化范围感觉3MM。
纤维化不代表浸润,AIS时肺泡隔常增宽,纤维组织增生。

















