
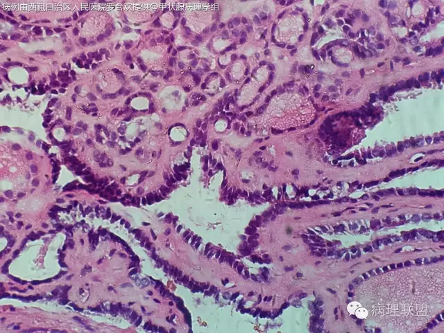
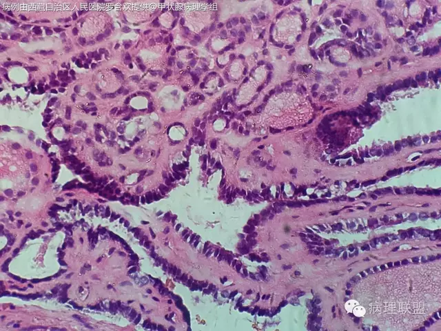
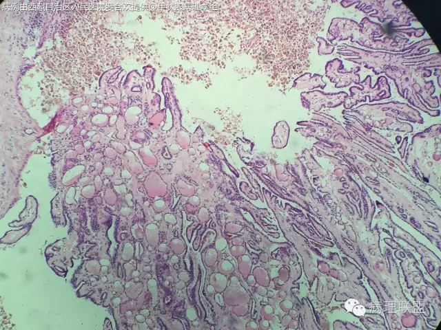
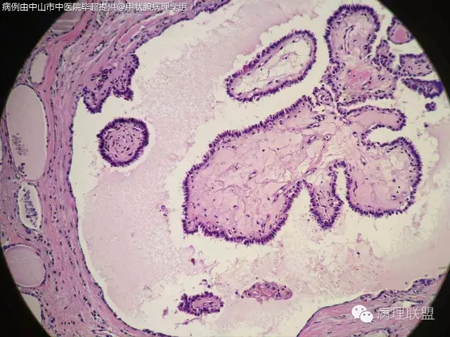
请教老师们一个病例,女,61岁,双侧甲状腺占位。(病例由西藏自治区人民医院 罗含欢 提供,致谢!)
没有看到浸润性生长,仔细看细胞核是否有乳头状癌的特征(核沟、毛玻璃样、加包涵体),图片不是很清楚,目前看上去应该是良性的,没有间质反应和砂粒体。浅见。
核不清,宽厚纤维间质,核重叠,应为乳头状癌
@罗含欢 结节性甲状腺肿伴出血囊性变,部分滤泡上皮乳头状增生
结甲,部分腺上皮乳头状增生
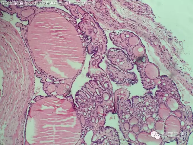
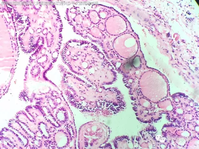
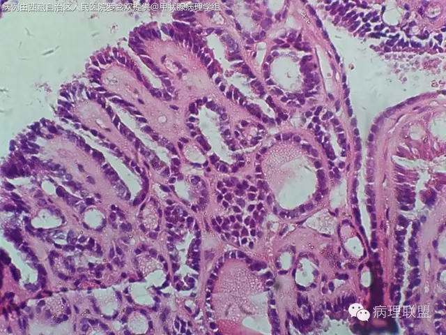
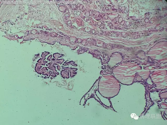
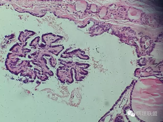
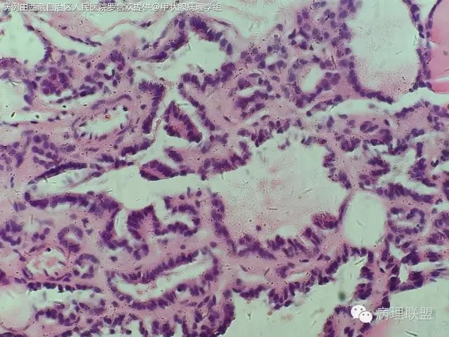
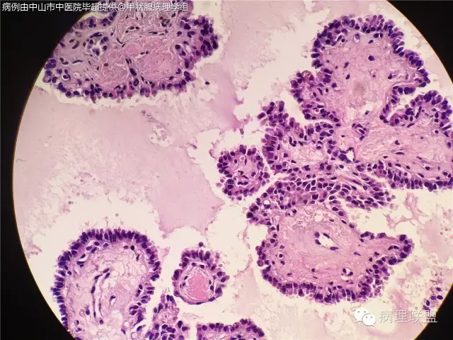
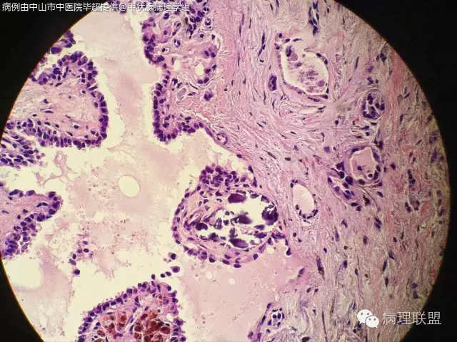
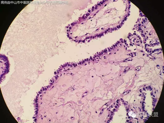
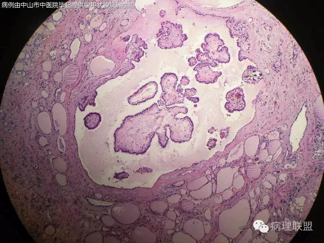
打脸病例分享,52/F,19年前因右侧甲状腺腺瘤行局部切除,因甲状旁腺功能亢进行甲状旁腺摘除,术中送检部分右侧甲状腺组织,冰冻切片未见异常,常规石蜡切片见乳头状结构,乳头间质见沙粒体,镜下图片如下:
自己在镜下看了半天核是有点挤,我们苏木素染色有点深,没看出有啥核沟和包涵体。因为出现沙粒体,上级医生不放心,加做免疫组化:
@罗含欢 @周泉 @邓永键 @韩绘宇 这例请几位老师看一下
微小乳头状癌。这种结构有时看不到典型的核的特点。@毕超
@阳宇 我之前还觉得没有核特征不能下癌,这例的不典型是否和冰冻有关?我们染色有点深
嗯嗯。个人觉得跟冰冻有些关系,还待其他老师高见
@阳宇 您爬楼看一下上一例@罗含欢 发的那例怎么样?有啥高见
@毕超 上一例跟你这个不一样。诊断结节性甲状腺肿伴滤泡上皮乳头状增生就可以了。唯一有点怀疑的是那小小灶真的乳头状结构的区域,虽然不是很清楚,但是可以隐约看出其细胞排列相当的整齐,规则。跟你这例完全不一样,核也是位于同一水平,个人看法,不对的地方请老师们指正
第一例乳头内有滤泡,第二例是真正纤维轴心,两例乳头不一样

@毕超 我说唯一有点怀疑的是这里。但还是不够癌。
PTC.核已经出现拥挤参差不齐,卵圆形有异性,加上沙立体的出现标准已够。实际上出现沙立体意味着PTC.但是要区分滤泡腔内深染浓缩的胶质。还有PTC强调在正常滤泡背景中的突然性,两者不能有移形。



































