
亚专科 ▪ 微信汇
M/55 鼻腔梭形细胞肿瘤(滑膜肉瘤or癌肉瘤or畸胎样癌肉瘤?)
作者:管理员
时间:
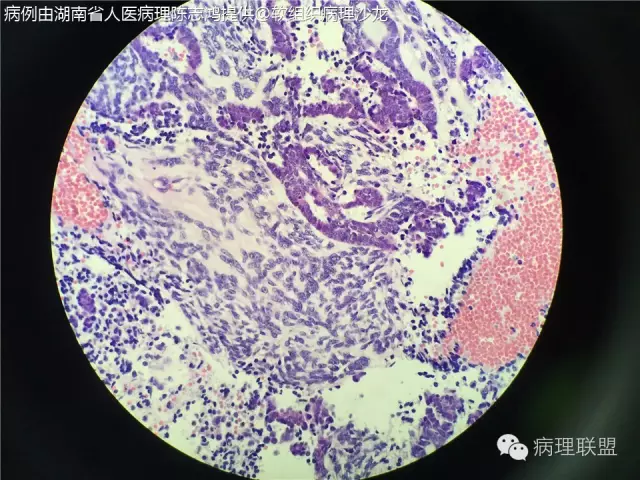
男性,55岁,反复鼻塞伴眼球突出1月余,切除鼻腔肿物(病例由湖南省人医病理陈志鸿提供,致谢!)
@湖南省人医病理陈志鸿 滑膜肉瘤
癌肉瘤不行吗?
癌肉瘤通常更加多样化
@镇江四院病理科许跃 我有点小疑惑,书上说腺样结构内是嗜酸性分泌物,但我这一例不是,不知道是否有意义
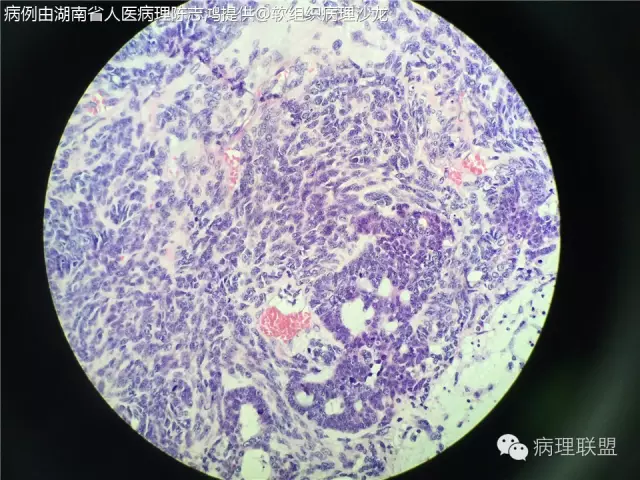
@河南省医病理 张雷 仔细找找有没有鳞状分化,间质有没有其他分化,这个部位要鉴别畸胎癌肉瘤,多做些免疫组化吧
细胞相对幼稚,要排除下母细胞方面
@广医三院病理江庆萍 就是因为幼稚,所以要考虑畸胎癌肉瘤的鉴别
@301病理 王昀 嗯 ,非常同意
滑膜肉瘤、癌肉瘤、畸胎样癌肉瘤都应在鉴别诊断之列


















