
亚专科 ▪ 微信汇
F/43 右乳肿物浸润性导管癌or髓样癌?
作者:管理员
时间:
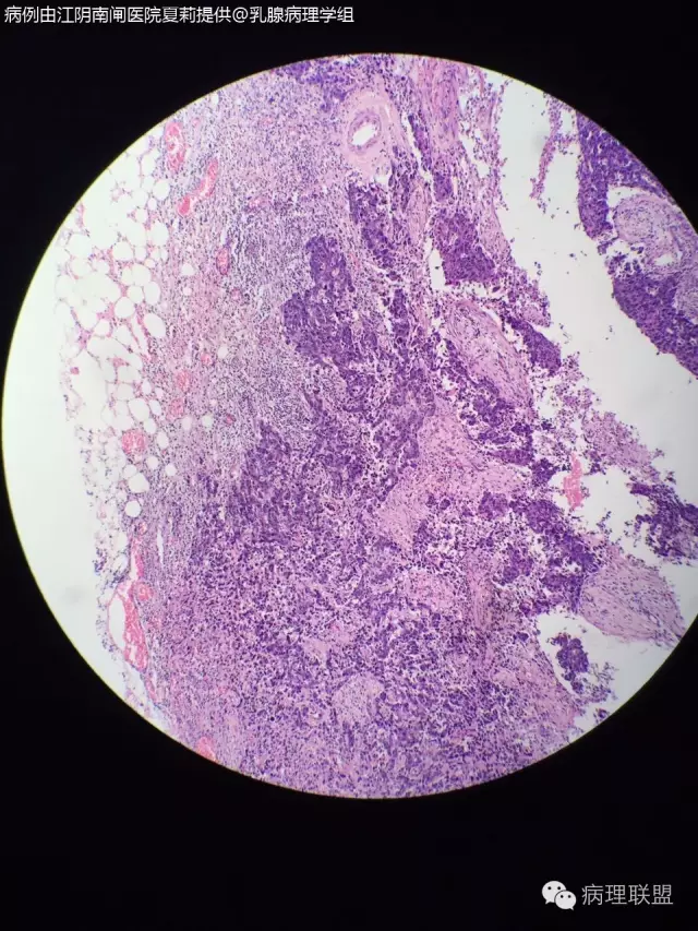
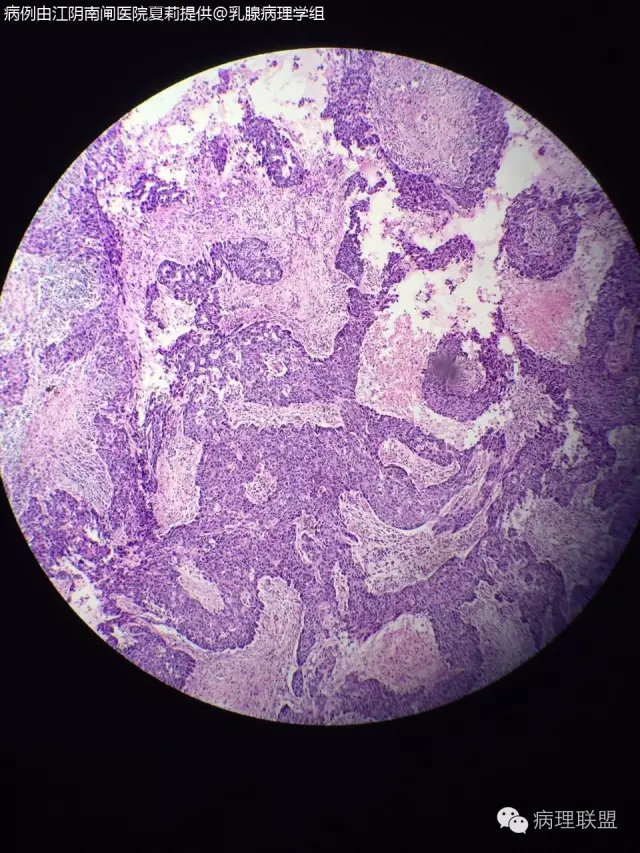
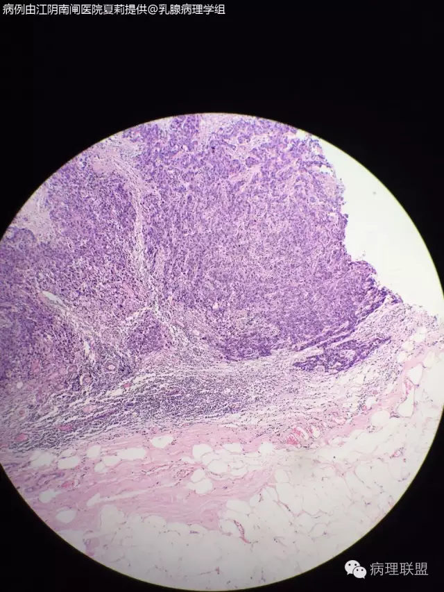
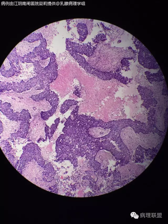
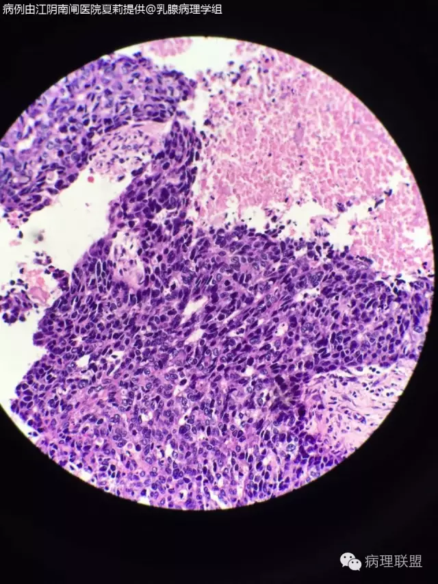
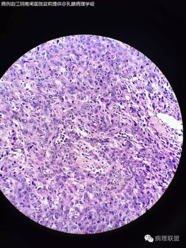
43岁女性,右乳肿物发现一个月入院,b超:低回声结节(2.2*1.3cm),双侧乳腺腺体增生。临床未考虑恶性。大体:灰白色不整形肿物,2.5*2cm大小,切面有一2*1.5大小的圆形区域,实性,质软,周围似有包膜。(病例由江阴南闸医院 夏莉 提供,致谢!)
浸润性导管癌
我考虑髓样癌,但我没见过髓样癌的片子,依据的是一些书上的关于髓样癌的描述。请各位老师指教
高级别导管癌的异形性也可以很像髓样癌的心态,好像还有腺管样结构。导管癌还是放第一位。
感觉髓样癌不是很够,有部分特征可以发具有部分髓样癌特征的浸润性导
现在新版也没有髓样癌的这个术语了,就叫伴有髓样癌特征的浸润性导管癌



















