
亚专科 ▪ 微信汇
M/46 低级别绒毛管状腺瘤伴腺体黏液外溢
作者:管理员
时间:
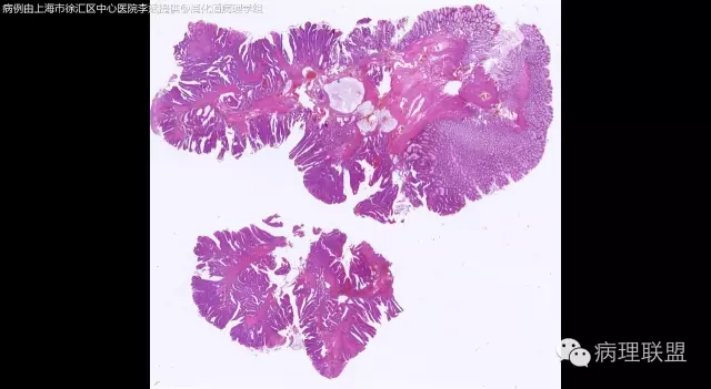
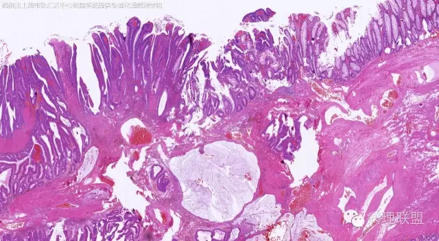
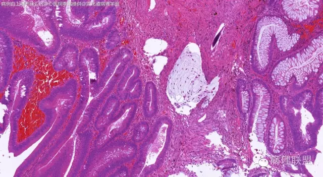
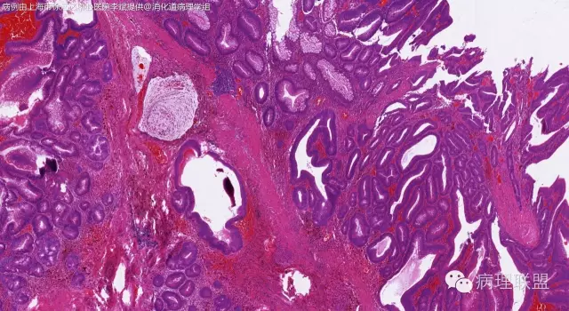
男,64岁,距肛门口45cm息肉大体:灰白结节2*2*1cm(病例由上海市徐汇区中心医院 李斌 提供,致谢!)
PJ息肉
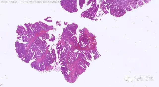
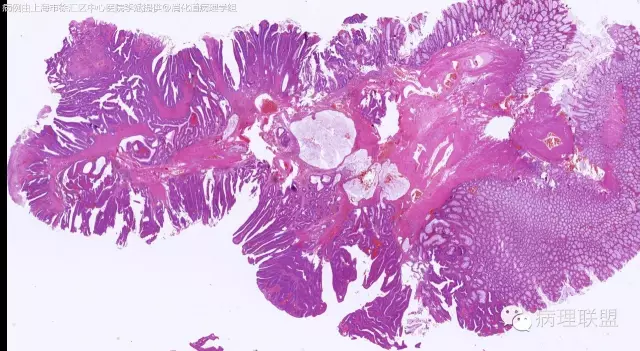
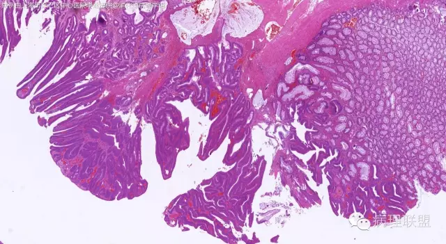
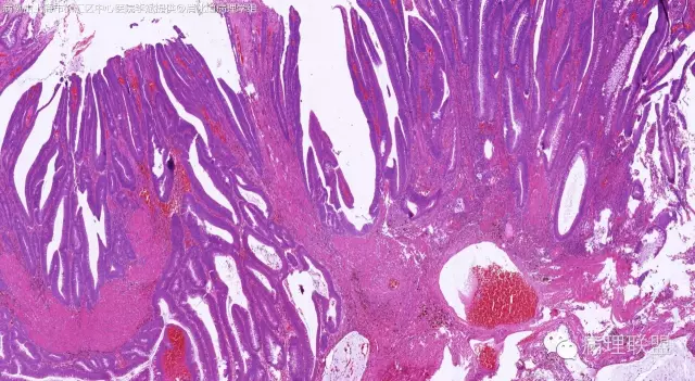
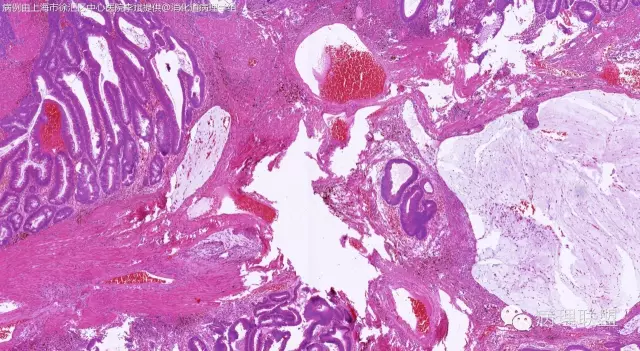
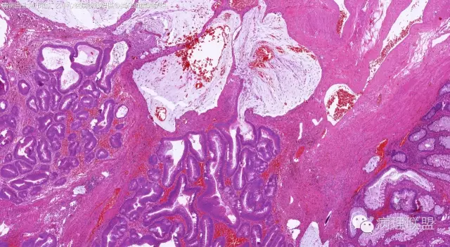
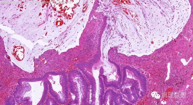
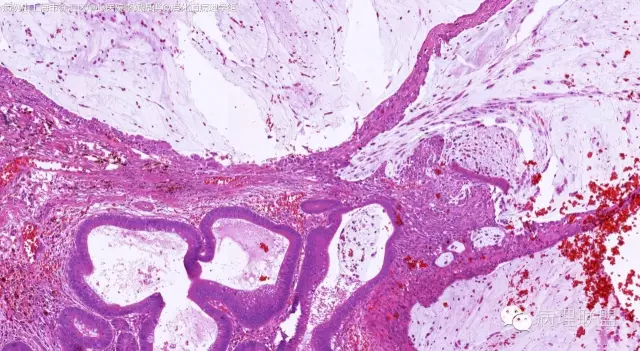
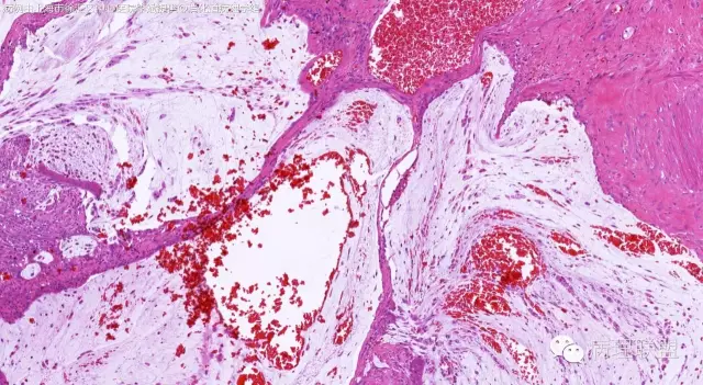
管状~绒毛状腺瘤伴低级别上皮内瘤变,黏膜下层部分腺体破裂黏液外溢伴黏液糊形成。
本例部分腺体异位到黏膜下层。
@周泉分析的在理,但绒毛管状腺瘤有这么粗大的平滑肌觉的也不是很多见。
@陈真伟 这可能是腺体异位,间质出血等多种原因导致的黏膜肌增生吧。这个俺就说不来了
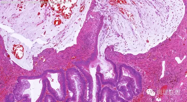
@李斌 李大夫的片子一向漂亮,有赏心悦目的感觉,必须赞一个。这例同意周大夫的意见,低级别绒毛管状腺瘤伴腺体破裂导致的黏液外溢。粘液池周围可见血管扩张淤血、含铁血黄素沉积、肉芽组织形成,提示发生过蒂扭转和出血,这常是造成假浸润、粘液溢出的原因。比较大的绒毛管状腺瘤会有分叶结构,会有比较粗大的平滑肌干,但缺少P-J息肉叶脉样从主干再分支出来的细平滑肌束。作为错构瘤性息肉的一种,P-J息肉的腺体可以分支、扩张、腺腔不规则,但没有细胞异型性,伴发异型增生时,局部出现细胞异型性但不会像这例这样齐刷刷都是异型的腺体。
























