
男,56岁,后腹膜肿块(病例由徐汇区中心医院李斌提供,致谢!)
考虑脂肪肉瘤或恶性神经鞘多形性脂肪肉瘤
@李海刚 S100阴性
脂肪肉瘤
脂肪染色@李斌 有脂肪母
肌源性的
除Vim阳外,SMA、DES、S100、CD34、BCL-2、CK全阴,Ki67 90%、P53+++
横纹肌的呢
CD117阴
@李斌 加脂肪染色
去分化脂肪肉瘤首选,多取材,排除了常见的再考虑其他
@黎美仁 没有看到高分化脂肪肉瘤呀
@黎美仁 没高分化区域
曾经遇到相似的病例,多取材后发现小灶低分化脂肪肉瘤区域,只有多取材多观察,实在没有,那就只能诊断未分化多形性肉瘤了,不知道去分化脂肪肉瘤大多数表现为高级别肉瘤,与本身就是未分化多形性肉瘤之间临床处理和预后有什么差别?有待老师们讲解。
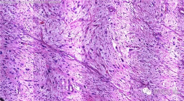
梭形细胞恶性肿瘤。低倍示瘤细胞排列呈束状,席纹状。部分区富裕黏液,黏液区细胞稀疏,内见较多线状,弓形,及分支状薄壁血管。中高倍示瘤细胞多形性,异型性明显,核分裂易见。部分细胞胞浆丰富红染。背景中可见炎细胞浸润!根据形态学及发病部位可能诊断有
1:MPNST
2:GIST
3:高级别脂肪肉瘤或去分化脂肪肉瘤
4:肌源性肉瘤
5:高级别纤维肉瘤
6:高级别肌纤维母细胞肉瘤
7:恶性SFT
8:未分化肉瘤。
根据目前组化结果考虑倾向去分化脂肉或未分化肉瘤。需两者估计只有通过多取材仔细寻找有无高分化脂肉的区域!若确实无个人觉得诊断未分化肉瘤即可!任何一种肉瘤的终末阶段都是未分化肉瘤!高度恶性临床治疗及预后没有太大差别!
后腹膜肿块又补取了几幅图
去分化脂肪肉瘤
@李斌 好病例!本例再次提醒我们平时工作中对于巨大肿块应该在不同颜色,不同质地处多取材也许会有意向不到的发现!
@李海刚@周泉这些成分在肿瘤边缘算吗?
@李斌 个人觉得还是多形性脂肪肉瘤,与高分化紧贴的去分化部分是幼稚的小梭形细胞,而非本例所见。那些脂肪应该是周围正常脂肪被浸润,而非肿瘤
@李海刚 主要是S100阴性
@李斌 不影响,有条件做个脂肪染色














































