
亚专科 ▪ 微信汇
F/20 枕部包块20年-皮肤脑膜瘤
作者:管理员
时间:
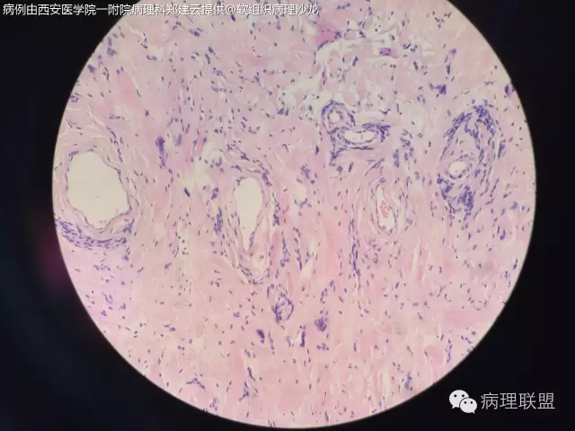
女,20,枕部包块20年,3x3x3cm,皮下(病例由西安医学院一附院病理科郑建云提供,致谢!)
神经鞘瘤
神经纤维瘤
不像呀
不像
感觉非寻常,但我不会,钙化像是血管内。
像是瘤内血栓钙化。
还有这样的区域

脑膜瘤会长这样吗
@西安医学院一附院病理科郑建云 能否在富细胞区给高倍?考虑异位脑膜皮性错构瘤,要和血管畸形鉴别。如果是脑膜皮病变,体积太大,可能还不排除其它畸形伴脑膜皮异位,不知颅脑结构是否有异常。
@中山大学附属第一院病理科~刘大伟 谢谢刘老师,头颅CT未发现颅内病变。
富细胞区,发几张高倍看一下
200够不?出生就有花生米大
够了。头皮脑膜皮性病变!如果有实性区域,似颅内脑膜瘤诊断为头皮脑膜瘤,如果全是如图所示的穿插性生长方式则诊断为异位脑膜皮性错构瘤
@中山大学附属第一院病理科~刘大伟 谢谢刘老师,在软组织能查到吗?
还是要加做免疫组化证实一下!毕竟EMH和淋巴管血管畸形很相似。
这个管子是啥东东?
谢谢EMA、VIM、D2-40、S-100、CD34,还标点啥?
CD31
@西安医学院一附院病理科郑建云 应该是皮肤脑膜瘤。因时间长,硬化较明显,也可见砂砾体,小血管壁硬化等,发病年龄均支持






























