
亚专科 ▪ 微信汇
F/71 足底黑斑-肢端雀斑样黑色素瘤
作者:管理员
时间:
女,71岁,足底黑斑多年,最初为蓝色,逐渐增大(病例由衡阳南华医院 钱红提供,致谢!)
原位?浸润?
浸润
需要大体图片
@衡阳南华医院钱红 ,要怀疑肢端雀斑样恶黑,感觉有浸润。同意@[南方医华银一病理魏建华]weijian ,先把大体图片要来看看后再发,更放心。病灶有多大?全部切下来了?如果没有皮疹照片,做下Ki67看看。
@衡阳南华医院钱红 我曾经听过@中山大学附一病理李扬 美女教授的课,非常需要大体所见,如果有皮肤镜会更好
@[南方医华银病理魏建华]weijian ,@衡阳南华医院钱红 ,是的,对这种组织学只是怀疑恶黑的临界性病变,临床皮疹会提供很大的帮助。
取材皮面黑斑边界不规则,但周边肉眼干净,镜下基底干净,整个黑斑边界面积约1.5*1
恶
@衡阳南华医院钱红 ,可以报肢端雀斑样恶性黑色素瘤
能否分析下诊断依据、鉴别诊断?
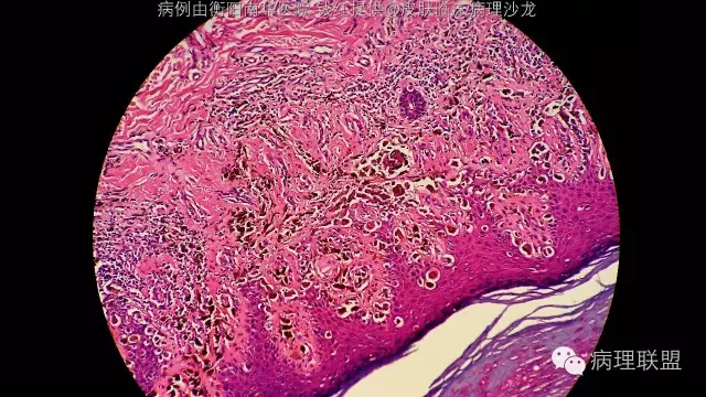
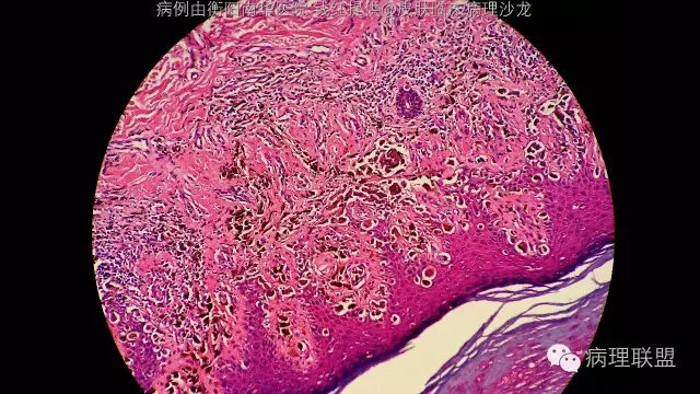
诊断依据,1,临床特点,常发生于老年人,足底,皮疹大于6mm,边缘不规则,色沉不均。2,鳞状上皮上皮脚延长,异型色素细胞沿上皮脚两侧基底层呈连续性增生。3,真皮乳头见灶性异型色素细胞浸润。
这张最明显,异型色素细胞沿上皮脚两侧,基底层呈连续增生
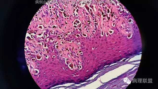
这张图尤其左下方显示真皮乳头层及真皮浅层有灶性异型色素细胞浸润
结合临床皮疹部位,皮疹特点,诊断肢端雀斑样黑色素瘤。鉴别诊断,肢端痣,非典型痣。
上一篇:
M/36,左足背肿物,直径1.5cm
下一篇:
M/53 右食指包块(内生性软骨瘤)




















