
M/36,左足背肿物,直径1.5cm(病例由广州医科大学附属第二医院 梅开勇教授提供,致谢!)
梅开勇教授解读
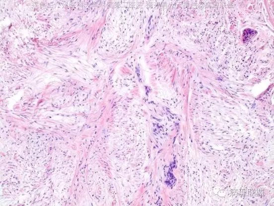
镜下形态学表现:肿瘤主要位于真皮内,略呈分叶状,小叶间为的胶原性结缔组织。肿瘤表面的鳞状上皮伴有棘层细胞增生和过度角化。瘤细胞由梭形和星形的纤维母细胞样细胞组成,杂乱分布于黏液样的基质内。部分区域内,瘤细胞呈条束状或疏松的席纹状排列,后者尤见于细胞相对丰富的区域内。瘤细胞的异型性不明显或仅显示轻度的异型性。核的染色质均匀、细致, 核仁小或不明显, 核分裂象罕见。黏液样的基质内含有丰富的纤细血管, 并可见较多散在的肥大细胞,未见其它炎症细胞。局部区域内还可见少量外渗的红细胞。未见核深染或有异型的多核性间质细胞。未见坏死。
简要概述形态学特点正如王炜博士及毛主任所言:1、成年肢端,2、病变位于真皮层,3、肿瘤呈分叶状,4、富于粘液,5、瘤细胞呈梭形至星型纤维母细胞样细胞构成,具有束状或疏松水肿的席纹状排列特点,6、疏松纤维粘液间质中隐约可见含有少许薄壁血管。
文献报道,部分病例可累及皮下组织,少数病例还可浸润至筋膜和骨膜。
免疫表型:除表达vimentin外, 绝大多数表达CD34,多数还表达CD99,部分病例灶性表达EMA和CDl0。不表达a-SMA,MSA和Desmin,提示不具有肌纤维母细胞分化。也不表达CK、S100蛋白、HMB45和载脂蛋白D(Apo D )。Apo D可表达于DFSP及粘液样DFSP。
鉴别诊断:
1、富于细胞性指(趾)纤维瘤:肿瘤位于真皮网状层,由CD34阳性的梭形细胞组成,间质呈轻微的黏液样,形态上与SAFM有所重叠。有学者认为,所谓的富于细胞性指端纤维瘤可能属于SAFM瘤谱中的一种。
2、指趾黏液性囊肿:是一种良性的腱鞘囊肿,好发于指间关节或近端甲襞,病变内细胞密度低,疏松黏液样,有时可见囊性区域,特别是病变的中心部位。
3、获得性指纤维角皮瘤、甲周/甲下纤维瘤:也好发于手指和足趾,并可起自于甲床,偶可位于手掌、足背、足底和足跟。被覆表皮可伴有增生和过度角化。与SAFM相比,病变内细胞和血管均稀疏,表现为真皮内大量垂直性增生的胶原组织,间质可伴有水肿,并可有少量炎性细胞浸润。
4、浅表血管黏液瘤:形态上与以黏液样基质为主的SAFM相似,但不同的是,浅表性血管黏液瘤好发于躯干、头颈、下肢和生殖区的浅表真皮或皮下,并常为Carney综合征的表现之一,肿瘤内可含有上皮性成分,梭形细胞CD34多为阴性。
5、皮肤硬化性神经束膜瘤:好发青年人(中位年龄24.5岁)的手指,偶可位于手掌,病变内含有大量的胶原纤维,可见上皮样和梭形细胞,呈条索状、梁状或旋涡状(洋葱皮样)排列,可表达EMA和CD34。
6、低度恶性纤维黏液样肉瘤:极少发生于手指和足趾,瘤细胞不表达CD34,表达EMA和MUC4,具有特征性的t(7;16)(q33-34;p11),并产生FUS-CREB3L2融合性基因。
7、黏液性神经纤维瘤瘤:瘤细胞由Schwann细胞、神经束膜样细胞和纤维母细胞构成,分布天大量黏液基质中。瘤细胞表达S100,早期报道的一些甲周/甲下黏液性神经纤维瘤不能排除SAMF的可能性。














