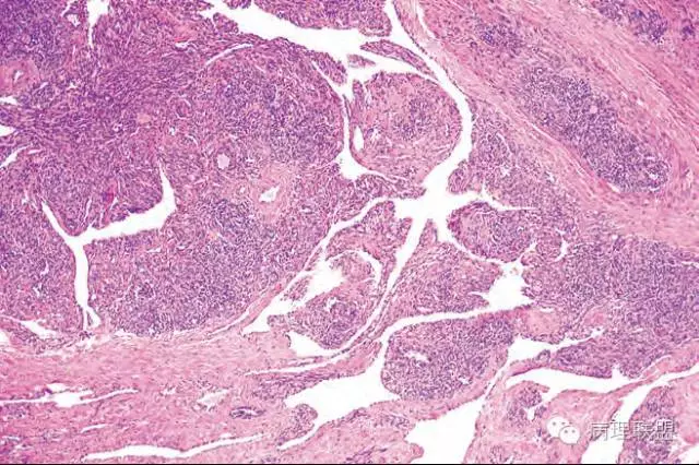
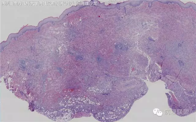
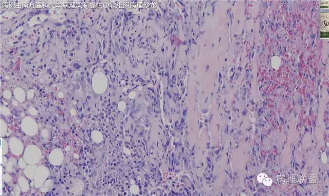
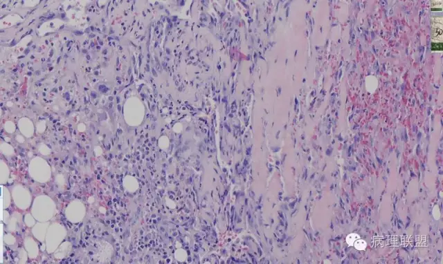
新生儿,男,14天。生后发现右前臂暗红色肿物14天。术中见:肿物2x1.5cm,深达筋膜下及肌膜表面,暗红色血管样。(南方医科大学病理梁莉提供 致谢!)
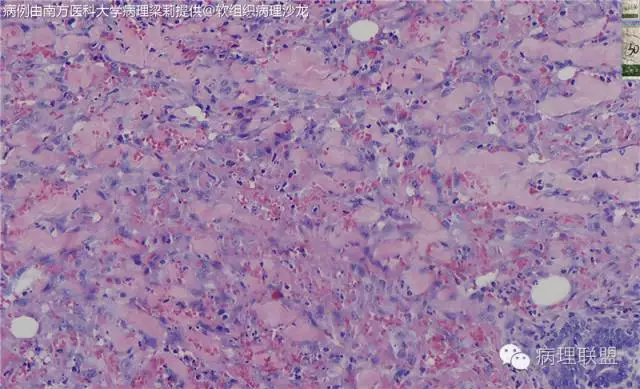
血管裂隙样,弯曲排列,似迷宫样,良性应该打不住,需往中间型考虑,请大咖们指点,软组织的重点应该放在良恶性的鉴别吧。
@南方医科大学病理梁莉 形态较符合复合性血管内皮瘤(composite hemangioendothelioma),属中间性血管性肿瘤。此肿瘤尽管多见于成人,也可发生于婴幼儿。
@南方医科大学病理梁莉 我开始也考虑这个,但仔细看不是太符合。
这例我们发的是卡波西样血管内皮细胞瘤,考虑如下:(1)新生儿,肢体肿物;(2)位置深,侵及皮下脂肪;(3)大多是裂隙状血管,也有少量吻合的血管网,细胞有异形,可见坏死
@广医二院_病理科_梅开勇 哪些地方不符合?
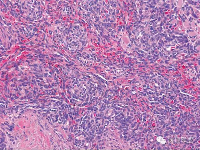
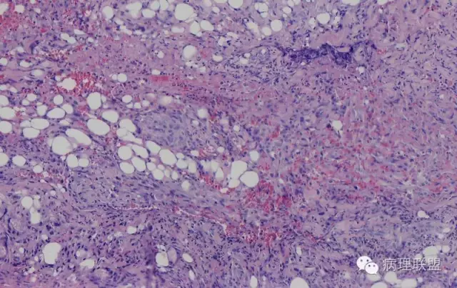
Kaposi型血管内皮瘤常有隐约小叶结构,梭形细胞束间有毛细血管,细胞核异型性和分裂活性一般不明显,常见梭形细胞束和圆形"肾小球样"实性细胞巢混合存在。


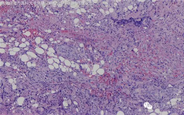
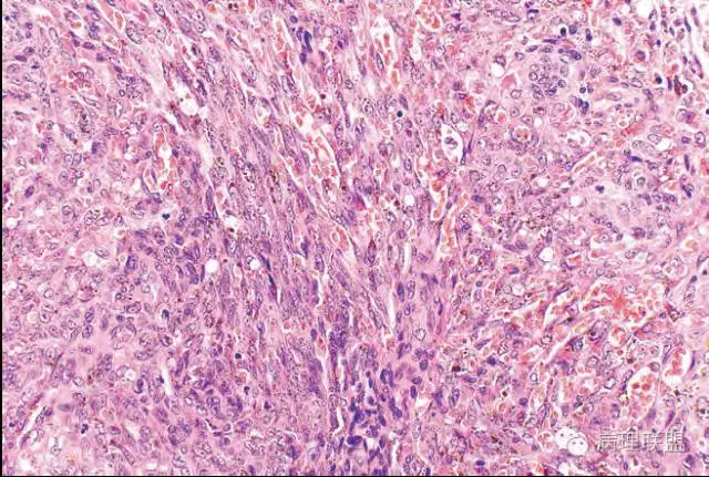
有些区域类似Kaposi肉瘤,如下图
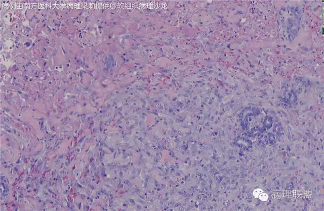
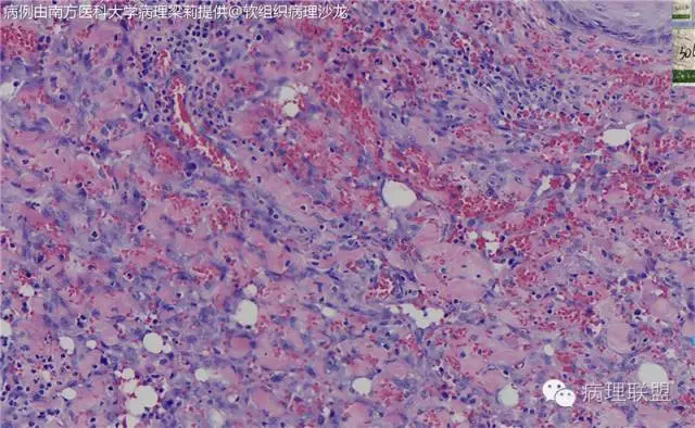
而复合性血管内皮瘤则是由良性、中间性和恶性的成份组成,也是浸润性生长,常常侵犯皮下脂肪组织,此例细胞形态由梭形细胞、卵圆形细胞及上皮样细胞组成,形态可见良性区域、中间性区域及高分化血管肉瘤或上皮样血管肉瘤区域,因此,似乎复合性血管内皮瘤更妥。此类肿瘤可以发生于婴幼儿。当然与Kaposi型血管内皮瘤一样,同属中间性血管瘤,只是后者,若肿瘤体积大,可出现Kasabach-Merritt综合征。
@广医二院_病理科_梅开勇 谢谢,学习了,两个中间型肿瘤预后有没有不同?
@南方医科大学病理梁莉 一样,若肿瘤体积大,可出现Kasabach-Merritt综合征。则因消耗血小板,预后就差多了。
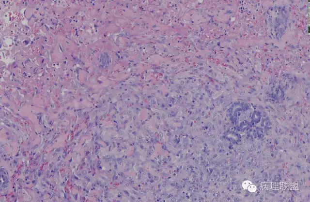
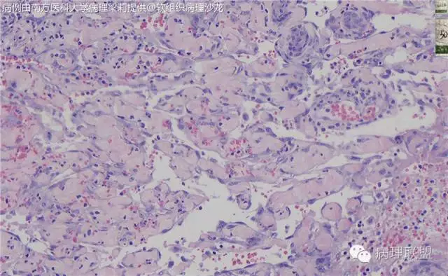
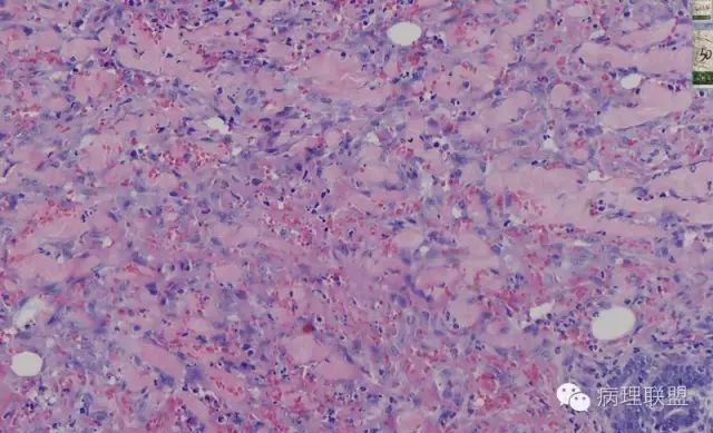
个人觉得应该是皮下纤维素渗出导致的内皮细胞旺炽性增生,局部呈内皮细胞乳头状增生,不认为是迷路样吻合;可能是婴幼儿血管瘤破裂诱发,也可能是血管畸形诱发。
@中山大学附属第一院病理科~刘大伟 如何区分两者呢?
注意活跃增生的内皮细胞总是与纤维素关系密切,并非穿插浸润的真皮胶原束。
混合型血管内皮瘤虽是混合各种形态,但是其主要成份一定是内皮瘤成份,上皮样血管内皮瘤或网状血管内皮瘤成份,其它血管肉瘤,血管瘤次要。@广医二院_病理科_梅开勇 仔细看了,好像是胶原。
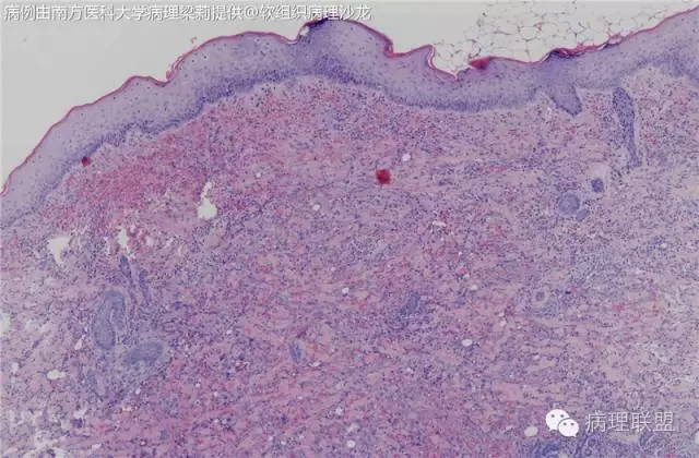
这种形态若在老年人头面部就是血管肉瘤,而在婴幼儿就降级了。