
亚专科 ▪ 微信汇
F/46 右肺占位:伴有EWSRl一CREBI融合性基因的肺原发性黏液样肉瘤
作者:管理员
时间:
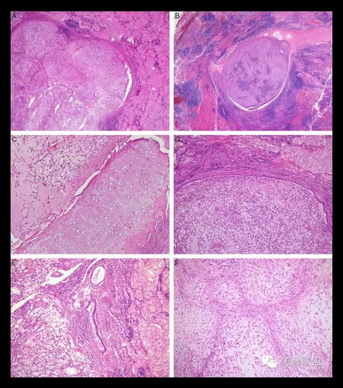
F/46 右肺占位(病例由广州医科大学附属第二医院 梅开勇教授提供,致谢!)
梅开勇教授解读
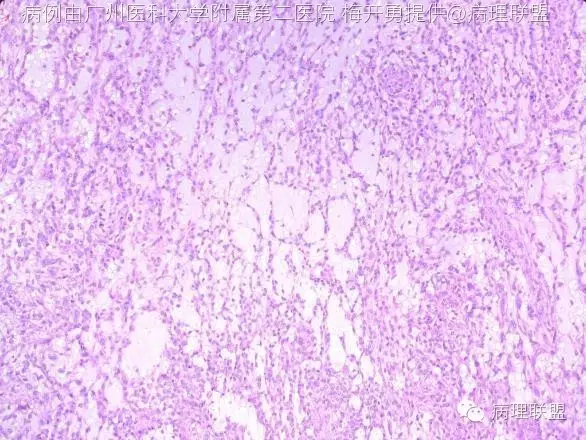
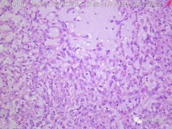
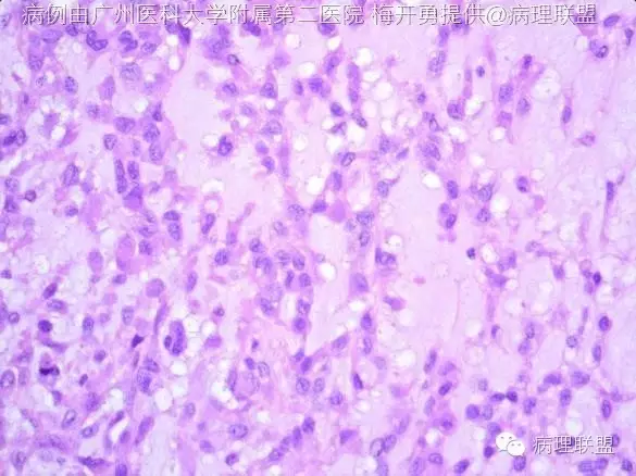
肿瘤位于支气管黏膜下,瘤细胞呈短梭形细胞、卵圆形细胞、多边形细胞和星状细胞,弥漫排列或呈条索状排列,间质呈黏液样。瘤细胞显示有一定的异型性,可见核分裂。形态学类似肌上皮肿瘤或骨外粘液性软骨肉瘤。
免疫组组结果:
vimentin(+),CK、p63、S100、SMA、Desmin、CD34均阴性。
诊断:
伴有EWSRl一CREBI融合性基因的肺原发性黏液样肉瘤(primary pulmonary myxoid sarcoma with EWSRl-CREBI fusion)
参考文献
上一篇:
F/45甲状腺占位-任玉波教授语音解读
下一篇:
石雪迎讲解:胰腺囊性病变诊断思路















