
亚专科 ▪ 微信汇
胰腺肿物-浆液性囊腺瘤
作者:管理员
时间:
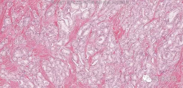
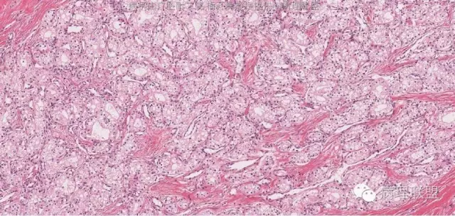
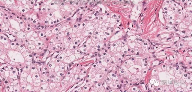
胰腺肿物(病例由广州医科大学附属第二医院 梅开勇教授提供,致谢!)

梅开勇教授解读:
肿物与正常胰腺组织分界清楚,肿瘤组织被纤维组织分隔成巢状。
瘤细胞呈立方形,胞浆透明,核染色质粗,见小仁。未见核分裂。细胞边界清楚。
肿瘤细胞排列成腺管状或腺泡状,腺管或腺泡排列紧密,背靠背。瘤细胞形态与浆液性囊腺瘤的瘤细胞形态完全一致。因此,诊断为浆液性囊腺瘤,实体型。
上一篇:
M/58 胃窦部错构瘤性息肉欣赏
下一篇:
F/45甲状腺占位-任玉波教授语音解读















