
亚专科 ▪ 微信汇
M/58 胃窦部错构瘤性息肉欣赏
作者:管理员
时间:
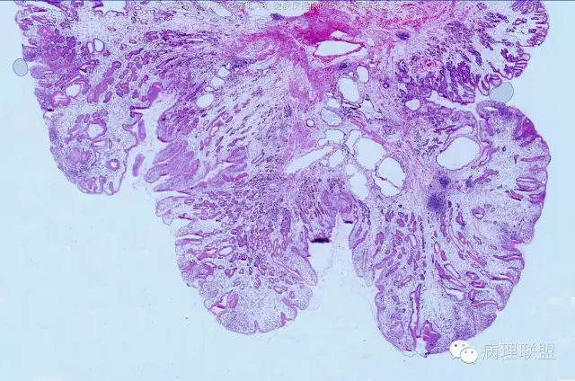
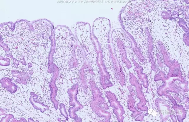
男,58岁,胃窦2.5×2.1×1.5cm大小肿物。冰冻切片。(病例由南方医科大学 邓永键教授提供,致谢!)

邓永键教授:
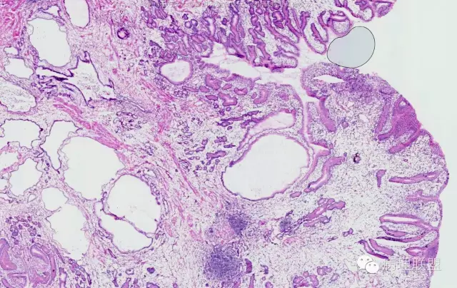
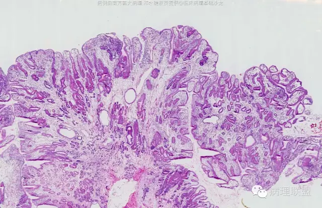
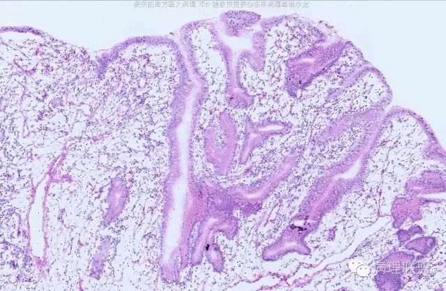
平滑肌束进入病变中,重点是表面腺体与正常腺体类似。
错构瘤性息肉/Peutz-Jephers息肉,在胃体,表面腺体是胃体腺,胃窦部是粘液腺;在小肠、大肠,表面腺腺体是小肠腺、大肠腺。该病变可以从食管至肛门都可发生。如果不出现出血、溃疡、梗阻症状,不体检,病人不会出现症状,不易被发现。小肠发生,易致肠梗阻、肠扭转。肛门发生,可脱出似内痔。
上一篇:
F/56 乳腺冰冻病例
下一篇:
胰腺肿物-浆液性囊腺瘤

















