
亚专科 ▪ 微信汇
F/56 乳腺冰冻病例
作者:管理员
时间:
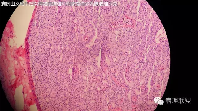
女,56岁,乳腺冰冻病例。(病例由义乌市妇幼保健院病理科何彦提供 ,致谢!)
上一篇:
F/45 阴道流血诊断性刮宫
下一篇:
M/58 胃窦部错构瘤性息肉欣赏






















