
亚专科 ▪ 微信汇
F/45 阴道流血诊断性刮宫
作者:管理员
时间:
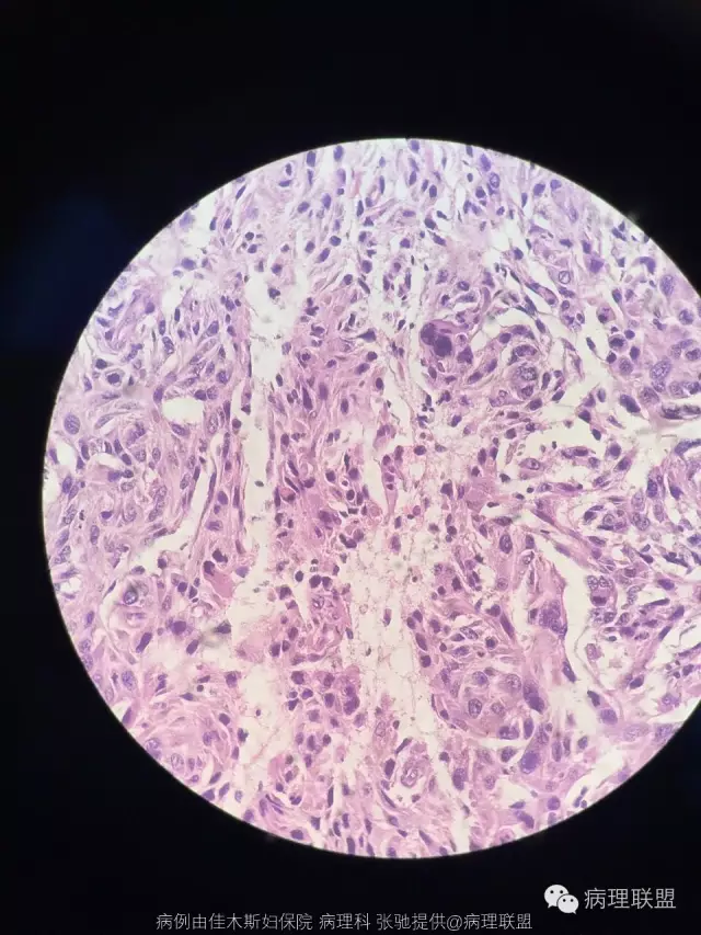
阴道流血,刮出灰白色组织较多,质韧(病例由佳木斯妇保院 张弛提供,致谢!)

子宫内膜间质增生结节,低高级别肉瘤
@中山大学孙逸仙纪念病理李海刚 细胞有异型,更倾向低级别间质肉瘤!
@聊城市人民医院病理科张杰 排除增生结节需要知道大小范围,高低级别需要看全部切片
@中山大学孙逸仙纪念病理李海刚 是的,李老师!但是刮宫标本怎么办呢?做免疫组化先区分是间质还是平滑肌,看看增殖指数如何,然后报告写倾向…,行不行?请指教
超声显示10*13cm病变好大喔!肌瘤比较质地韧,一般刮宫不会刮下来,内膜间质肉瘤质地软有可能刮下来。
考虑低级别间质肉瘤。
下一篇:
F/56 乳腺冰冻病例
















