
亚专科 ▪ 微信汇
胃黏膜反应性增生or黏膜相关淋巴瘤(MALT)
作者:管理员
时间:
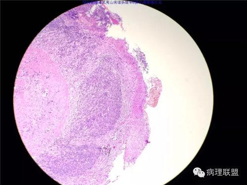
女性,43岁,胃镜活检。

(注:病例由福建武夷山病理杨雄华提供 致谢!)
福建武夷山病理 杨雄华:
请教各位老师,这是反应性还是MALT呢?谢谢。
北医病理 石雪迎:
@福建武夷山病理杨雄华 虽然倍数较低看不清细胞的形态,但从提供的图片和CD21、Ki67分布方式看,考虑是反应性,Bcl-2做了吗?HP呢?福建武夷山病理 杨雄华:
HP有的++,bcl-2没做。需要发高倍图吗?
南华大学附二病理 苏坚:
福建武夷山病理杨雄华 建议抗HP治疗后复查。Ki67指数也太高了,更符合炎性病变。
北医病理 石雪迎:
Ki67表达的程度是生发中心的节奏,bcl-2在Ki67高表达的区域应该是阴性的。从分布模式看基本可以了,不用发高倍了。
福建武夷山病理 杨雄华:
好,是的,ki67和CD21分布看去像生发中心。但有些淋巴上皮现象,有点担心。
北医病理 石雪迎:
有IELs不一定是MALT,炎症时也可以。对于这种情况,根除HP治疗是首要的,即使是MALT相当一部分也会消退,所以不用担心低诊断耽误治疗。
上一篇:
甲状腺病变中的MALT?
下一篇:
直肠肿物一年余,肛管内见质硬肿物-腺癌?
















































