
亚专科 ▪ 微信汇
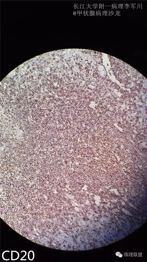
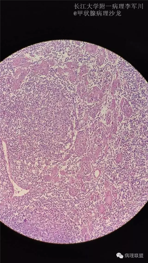
甲状腺病变中的MALT?
作者:管理员
时间:
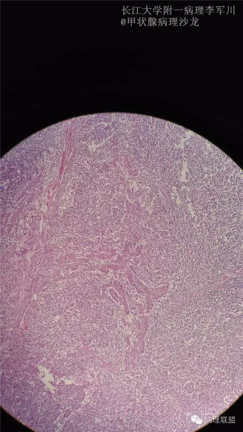
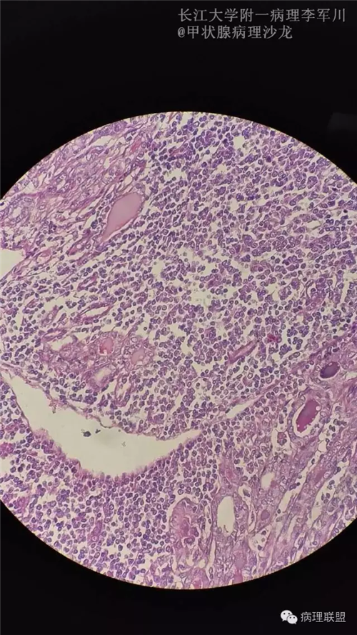
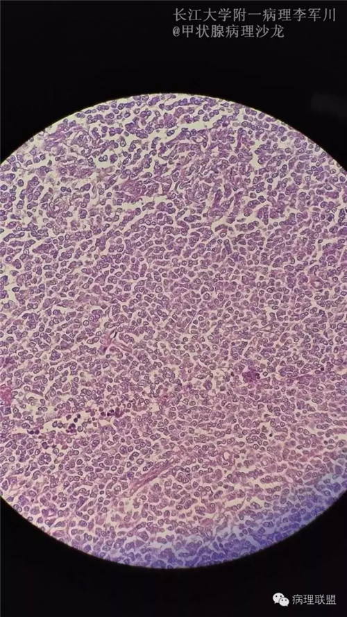
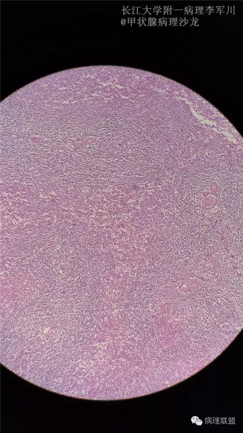
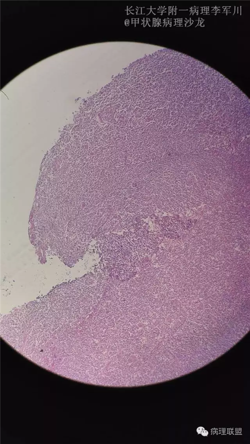
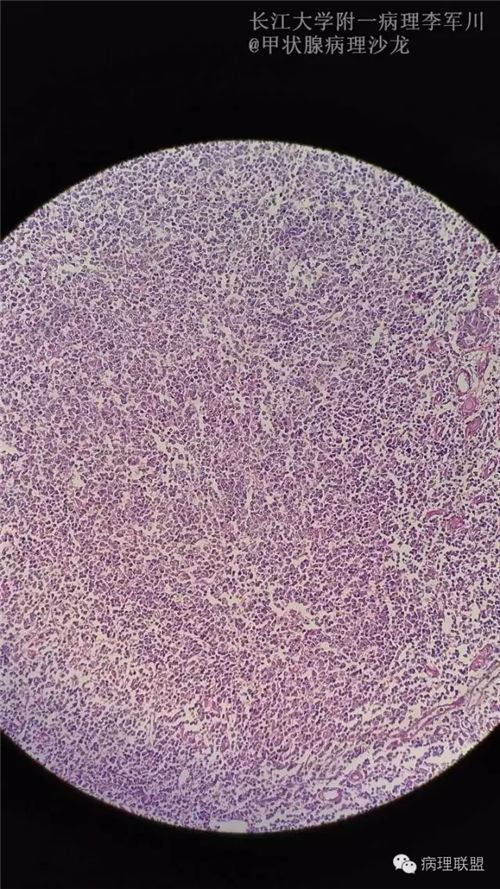
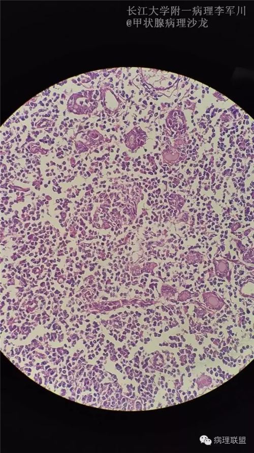
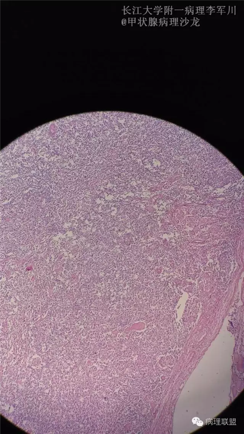
女,40余岁,右侧甲状腺肿块,直径约3cm。
病例由长江大学附一病理李军川提供,致谢。
上一篇:
变态反应性支气管肺曲菌病(ABPA)
Copyright © 2015 广州华银医学检验中心有限公司 版权所有 粤ICP备14054759号-2