
亚专科 ▪ 微信汇
变态反应性支气管肺曲菌病(ABPA)
作者:管理员
时间:
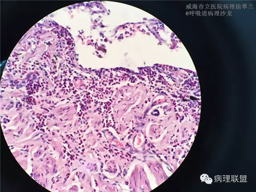
男性,56岁,CT示:右肺下叶近斜裂处可见一3*3cm肿块影,边界不清,纵隔未见明显肿大淋巴结。大体:肺组织内见一灰白灰黑色质地较实区域,大小约为2*1.5*1.3cm,界限不清,于其他区域见多个小结节,直径0.4至1cm,切面灰黄色质软,界限尚清。其余肺组织内可见小支气管扩张,切面灰红色质软。
(病例由威海市立医院病理徐翠兰提供,致谢。)
上一篇:
令人担心的胃肠道腺体增生
下一篇:
甲状腺病变中的MALT?
















