
亚专科 ▪ 微信汇
令人担心的胃肠道腺体增生
作者:管理员
时间:
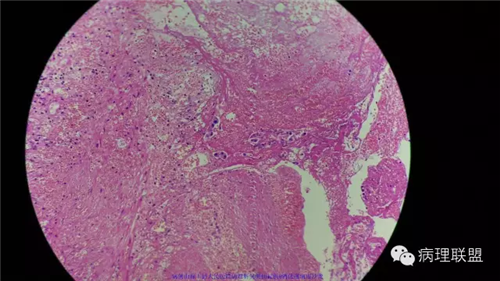
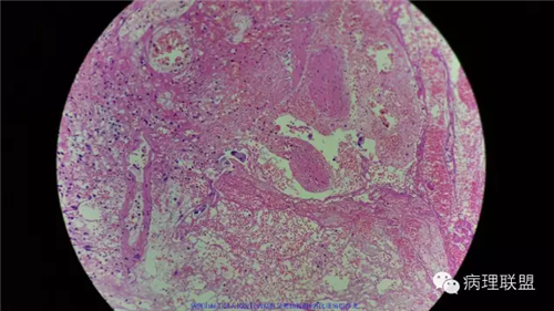
病例1
病史
男性,46岁。慢性胆囊炎急性发作。
(注:病例由禄丰县人民医院病理科吴美仙提供 致谢!)
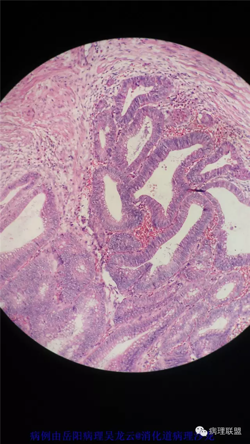
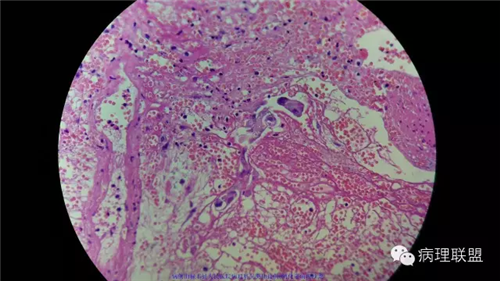
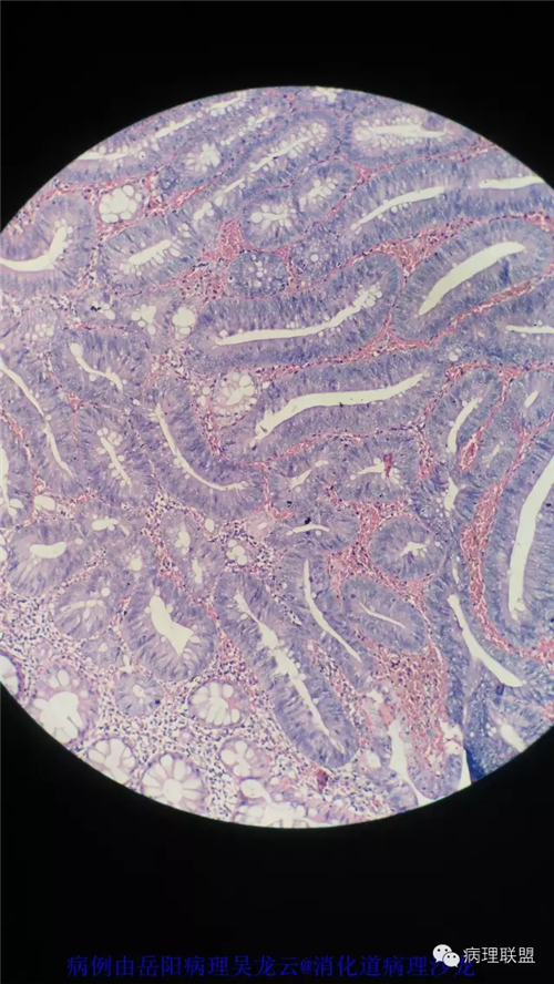
病例2
病史
女性,60岁,结肠腺瘤活检。有一灶腺体突破粘膜肌,腺体无明显异形。
(注:病例由岳阳病理吴龙云提供 致谢!)

病例1
病史
男性,46岁。慢性胆囊炎急性发作。
(注:病例由禄丰县人民医院病理科吴美仙提供 致谢!)
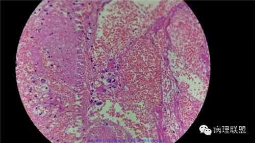
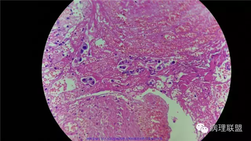
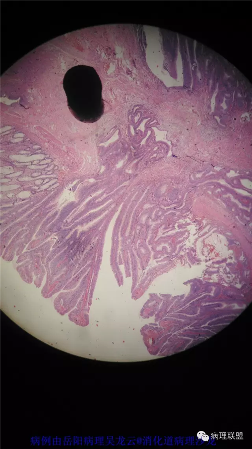
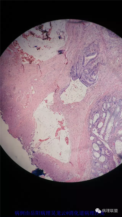
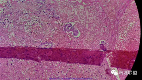
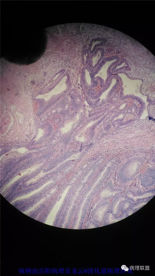
病例2
病史
女性,60岁,结肠腺瘤活检。有一灶腺体突破粘膜肌,腺体无明显异形。
(注:病例由岳阳病理吴龙云提供 致谢!)
Copyright © 2015 广州华银医学检验中心有限公司 版权所有 粤ICP备14054759号-2