
亚专科 ▪ 微信汇
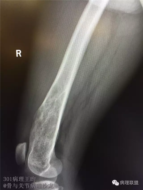
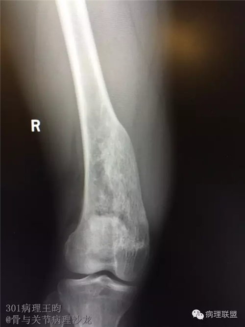
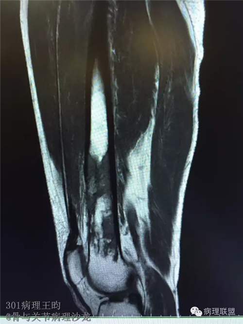
右股骨髓内高分化低级别骨肉瘤or骨纤维异常增殖症(Fibrous Dysplasia)?
作者:管理员
时间:
男,36岁,活动后疼痛,发现右股骨远端肿瘤。
病例由301病理王昀 提供,致谢。
上一篇:
PTC(甲状腺乳头状癌)
下一篇:
令人担心的胃肠道腺体增生




















