
大风都感动了街市的大树/轻飘飘的我怎能不动摇/悠悠的松弛我紧绷的身躯/给我你的柔情和甜蜜
http://112.74.40.186:5597/ViewerService/viewer.aspx?pathsysid=H160337
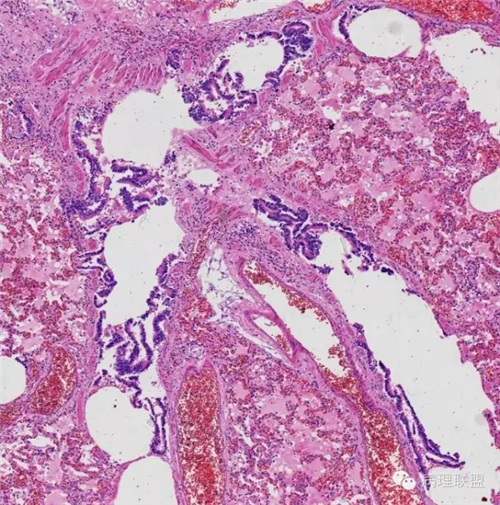
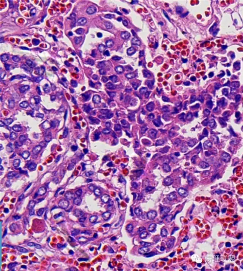
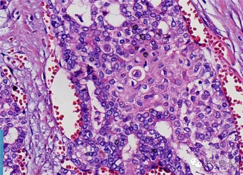
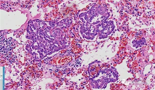
这是切片,请看!
这么小的孩子……
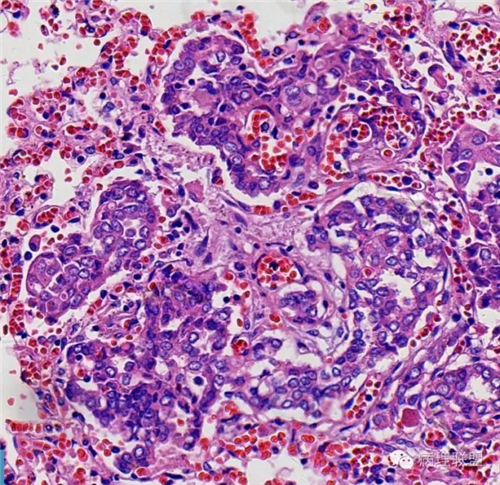
肺的
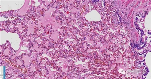
不仅仅是肺水肿
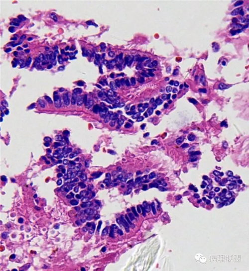
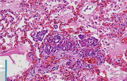
各种各样……
▲病例由南方医科大学病理教研室邓永键教授提供,致谢!▲











