
北京怀柔医院病理科 曲冰杰:
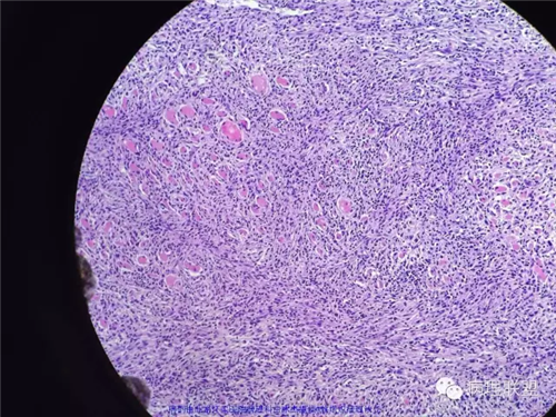
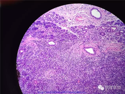
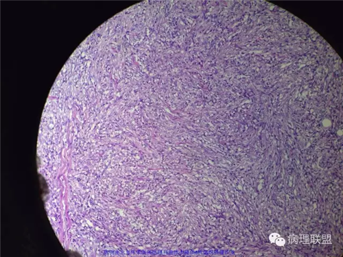
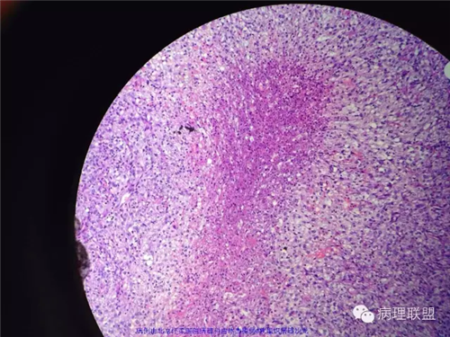
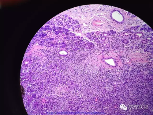
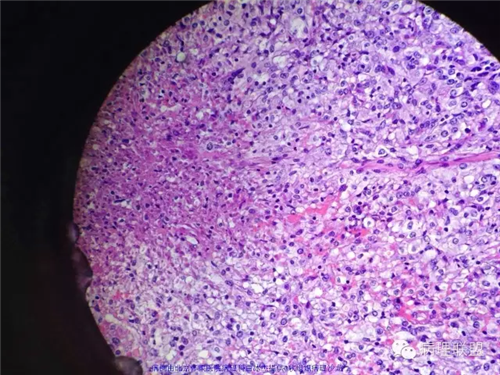
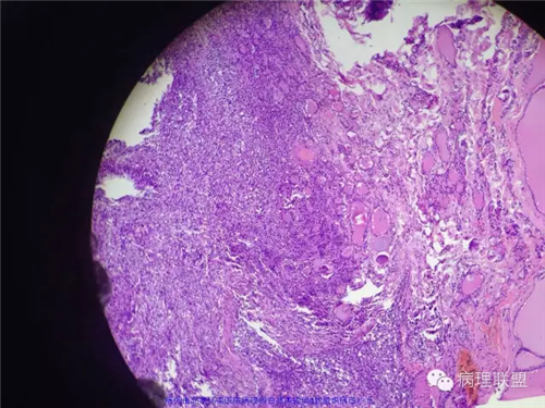
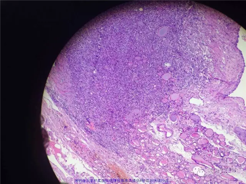
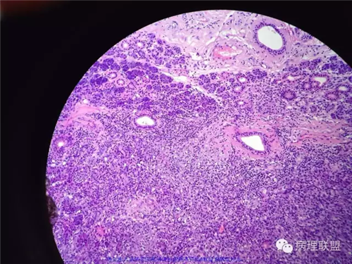
甲状腺肿物,镜下梭形细胞肿瘤,伴坏死及钙化,侵犯横纹肌及涎腺,不知道各位老师考虑什么,免疫组化还没有方向,低分化恶性梭形细胞肿瘤?炎性肌纤维母细胞肿瘤?甲状腺原发还是涎腺原发?谢谢。
吉林通化市人民医院病理 李长平:
侵袭性甲状腺炎?
河南省医病理 刘秋雨:
首先除外癌,如间变性/肉瘤样癌,其次考虑软组织来源。
上海松江中心医院病理 张黎:
间变性癌或肉瘤。
南方医华银病理 魏建华:
我考虑UTC,年龄+体征+组织学图像,考虑UTC,发展很快。
武汉黄陂区中医医院病理科 王强:
好吧 俺也瞎叨叨几句:1,这一例的关键是确定和甲状腺的关系。虽然大体以及描述都说的是甲状腺,但图中没示任何甲状腺。如果找到正常甲状腺组织,当然可以;如果找到其他甲状腺高分化癌的成分,也有提示意义,2,临床表现,80岁,先倾向于UTC了;如果生长再迅速一点,那更支持了。3.镜下,UTC的几个特点(i) widely invasive growth, (ii) extensive tumor necrosis, (iii) marked nuclear pleomorphism, and (iv) high mitotic activity. 此处的坏死,是geographic coagulative necrosis,所以俺才说是有特点。























