
亚专科 ▪ 微信汇
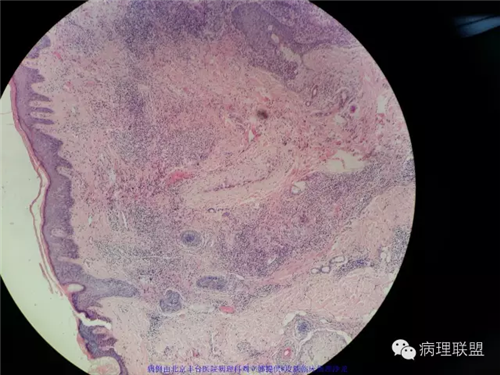
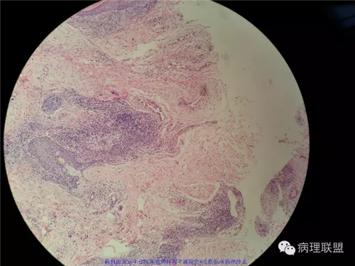
皮肤血管肉瘤
作者:管理员
时间:
男性,29岁,左眉弓红色丘疹,直径0.5cm。病史:患者病程2个月
(注:病例由北京丰台医院病理科刘立娜提供 致谢!)
上一篇:
左前臂结节性筋膜炎-邓永键讲解
下一篇:
甲状腺UTC(甲状腺未分化癌)


















