
女,27岁,发现左前臂肿块7个月
(注:病例由上海徐汇中心医院病理科李斌提供 致谢!)
北京和平里医院病理科 黄启静:
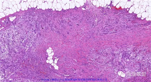
年轻人,最好发上肢,病程短,结节状增生,无明显包膜。镜下分带状,中央少细胞粘液变,周边细胞丰富,可见胶原化。大量增生的梭形细胞可呈席纹状。其间常可见淋巴细胞浸润和红细胞渗出,偶见多核巨细胞。
南医大病理 邓永键:
结节性筋膜炎(NF)在诊断时易被忽视,实际上不能称之为肿瘤,而是纤维组织增生修复过程中的组织学断层诊断。
通常结缔组织修复过程为肉芽组织→疤痕组织→透明变性。NF发生在间叶组织内,其内的纤维细胞、间充质细胞受到损伤(挫伤)时,转化为成纤维细胞,因而不需形成肉芽组织,受损伤修复因子的刺激,发生肌成纤维母细胞、成纤维细胞的增生。
主要病理表现:粘液、水肿性纤维组织增生基础上,散布各阶段的肌成纤维细胞、成纤维细胞,侵袭周围正常的纤维脂肪组织,所以病变整体状态呈星芒状。
由于是损伤,因而伴有轻度炎症。由于损伤,可伴出血。由于修复,可出现胶原纤维增生。由于是间叶组织增生,可出现钙化、骨化。间叶细胞、肌成纤维细胞增生,CD34、SMA、Desmin阳性,也就很好理解,也可出现鹰眼状核、胞浆嗜碱性的神经节样成纤维细胞和肌成纤维细胞。由于间叶细胞如雨后春笋般地竞相增生,细胞分裂、胞浆融合来不用分离,就能出现多核细胞。
发生时间长短不同,我们所看到的时间断面上病变表现差异不定,甚至后期胶原纤维增生较重,类似瘢痕疙瘩。
只要损伤部位、易受挫伤部位,均可发生,不管是撞的、击的、打的、猛抓的、挠的,经意与不经意的,都为发生原因。除常见于前臂外,上臂(挤车门、挤电梯?)、头皮(被人亲的?)、面部(使劲亲的?)、肚皮(减肥揉的)、乳房(??)、臀部(凳子夹的?肥屁股猛坐?)、大腿、小腿等,都可发生。
深部病变、手术区域,暂时性纤维增生,也可出现FN。
所以,以时间发展的眼光看切片,以生活常识认组织, 我们就能清楚的诊断FN。
邓永键 教授 副主任医师 博士生导师 医学博士
南方医科大学基础医学院病理学系、南方医院病理科、南方医科大学·广州华银病理诊断中心副主任
现任中国医师协会病理医师分会副干事、中国医疗保健国际交流促进会病理学分会副主任委员、广东省医师协会病理学分会委员。
1993年第一军医大学临床医学六年制毕业,1996年病理学硕士研究生毕业。毕业后从事临床病理诊断、病理学教学与科研工作。2004年在第三军医大学就读皮肤病与性病学博士研究生,获医学博士学位。较长时间从事肿瘤病理学研究,在教学、科研与临床病理诊断方面积累了丰富经验,特别在皮肤疾病、炎症性疾病及特殊感染性疾病的病理诊断方面具有独到见解,许多炎症性疾病长期未获得诊断的患者经确诊后获得了治愈。
专长:皮肤病理和感染性疾病病理诊断,建立了睾丸活检生精功能评价的分类体系。




























