
亚专科 ▪ 微信汇
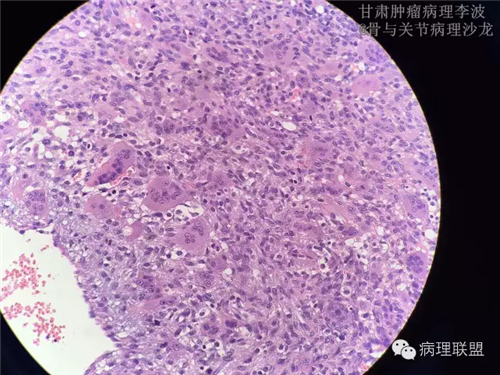
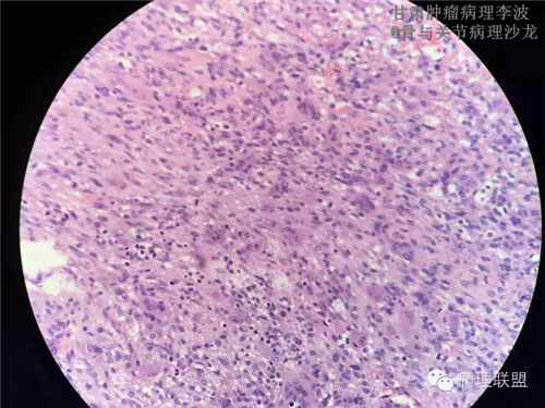
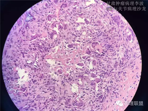
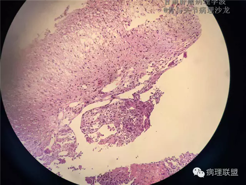
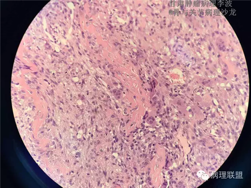
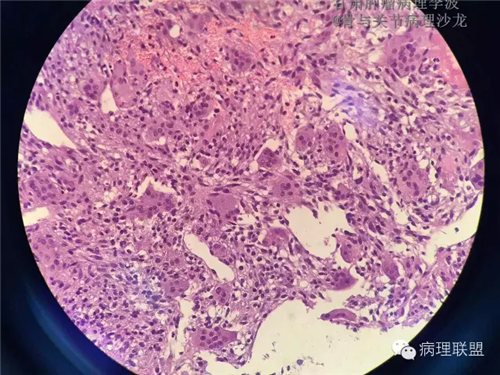
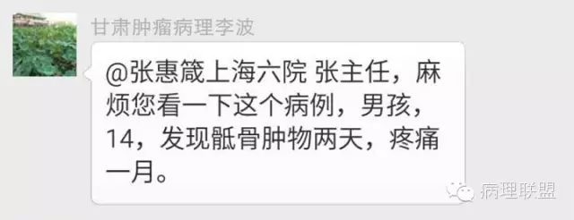
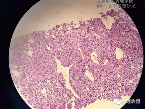
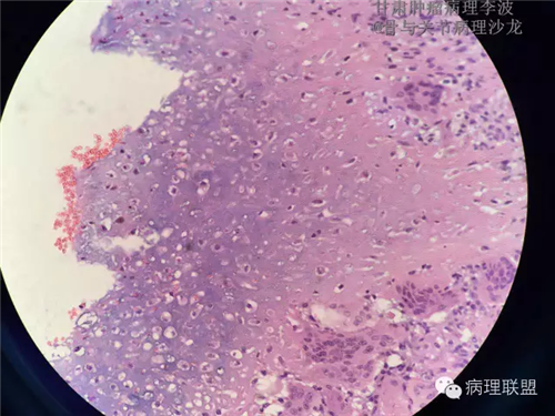
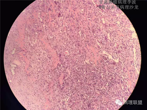
M/14 骶骨骨肉瘤-张惠箴讲解
作者:管理员
时间:
病例由甘肃肿瘤病理 李波 提供,致谢。
补充图片
上一篇:
外阴毳毛囊肿并汗管瘤
下一篇:
尿TCT检查中不典型细胞的判读





































