
亚专科 ▪ 微信汇
肺转移性乳腺分泌性癌?-病例讨论
作者:管理员
时间:
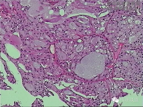
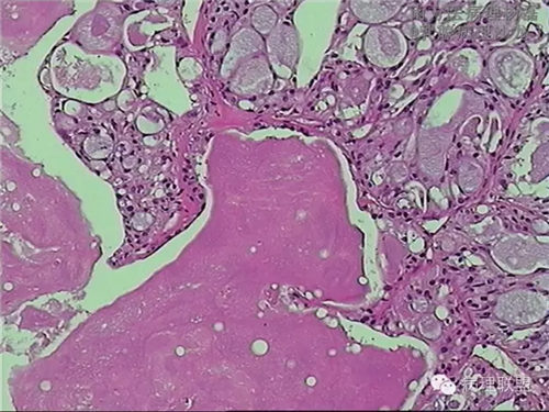
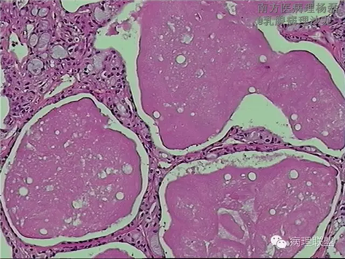
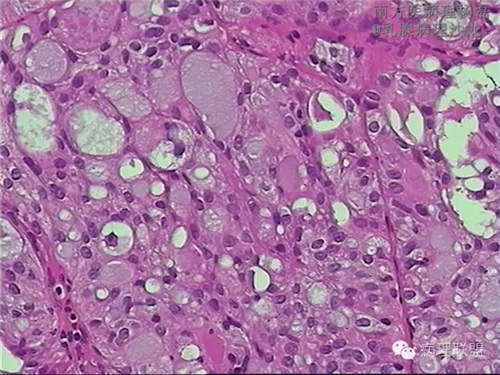
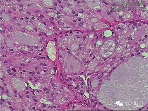
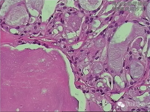
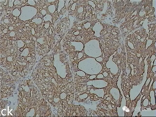
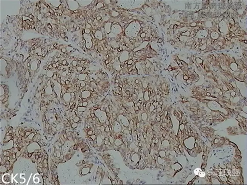
女,51,右肺多发结节穿刺。15年前行右乳肿物切除,具体不详。
病例由南方医病理科杨磊 提供,致谢。
上一篇:
M/79,右半结肠粘膜下肿块
下一篇:
外阴毳毛囊肿并汗管瘤



































