
亚专科 ▪ 微信汇
M/79,右半结肠粘膜下肿块
作者:管理员
时间:
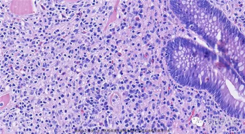
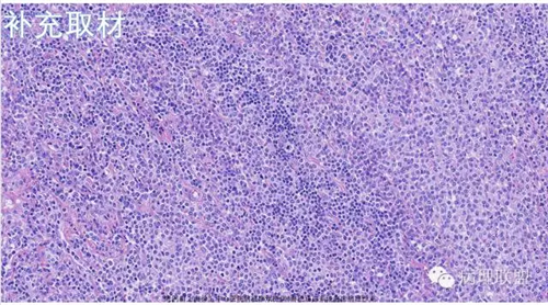
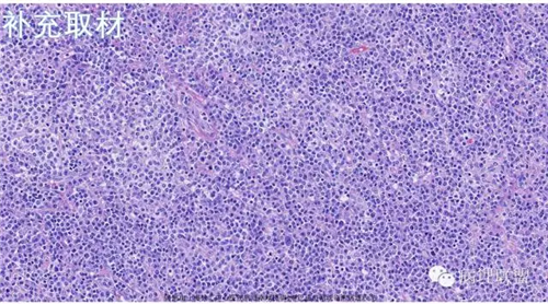
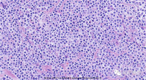
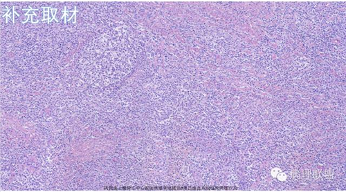
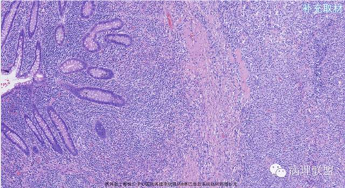
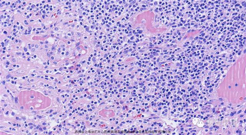
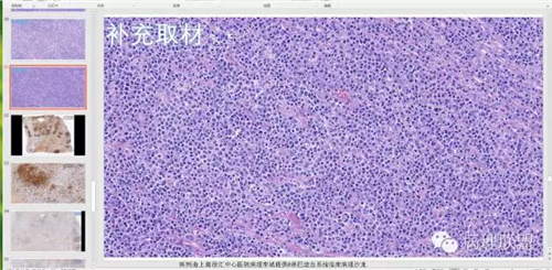
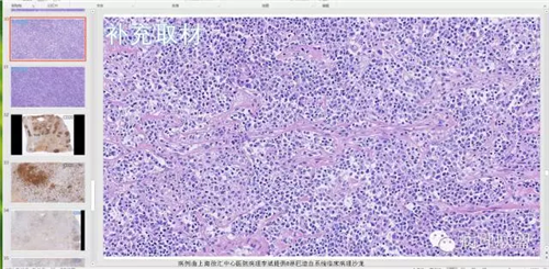
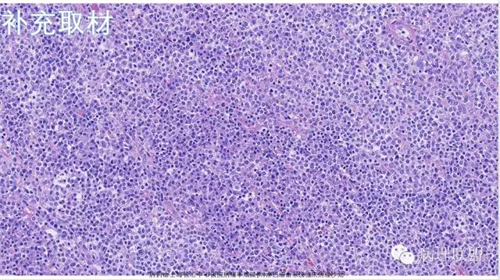
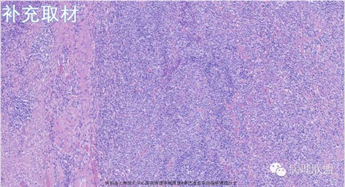
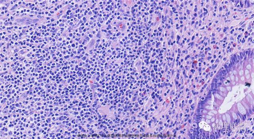
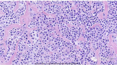
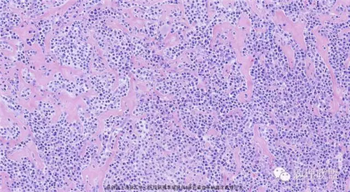
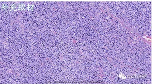
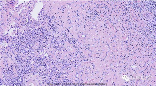
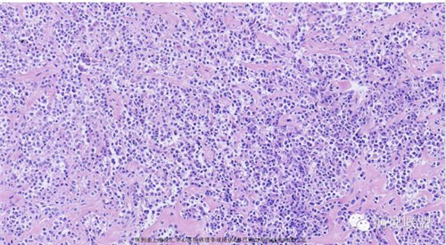
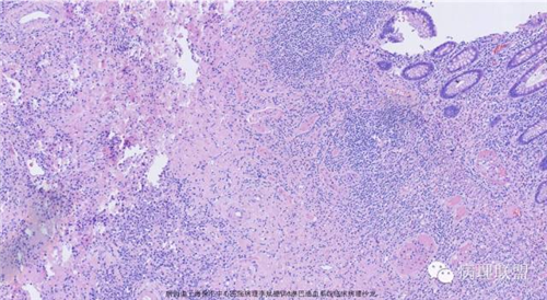
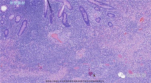
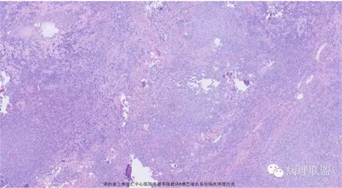
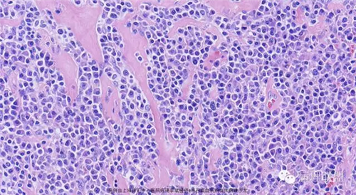
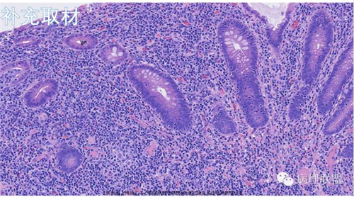
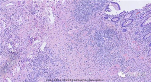
M,79岁,右半结肠粘膜下肿块。大小:6.5*6*6cm球形肿块,切面灰白质硬,界清。第一次取材。
(注:病例由上海徐汇中心医院病理科李斌提供 致谢!)
下一篇:
肺转移性乳腺分泌性癌?-病例讨论

M,79岁,右半结肠粘膜下肿块。大小:6.5*6*6cm球形肿块,切面灰白质硬,界清。第一次取材。
(注:病例由上海徐汇中心医院病理科李斌提供 致谢!)
Copyright © 2015 广州华银医学检验中心有限公司 版权所有 粤ICP备14054759号-2