
亚专科 ▪ 微信汇
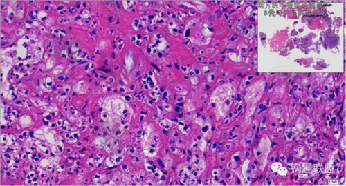
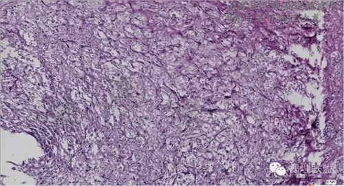
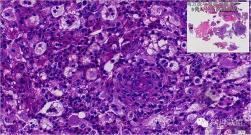
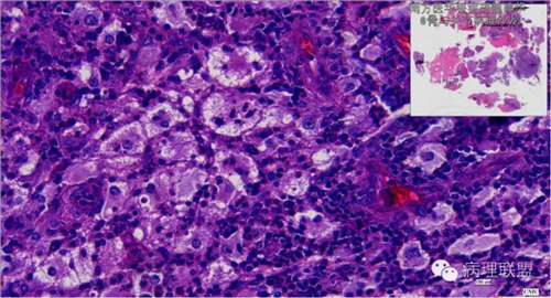
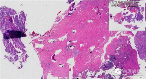
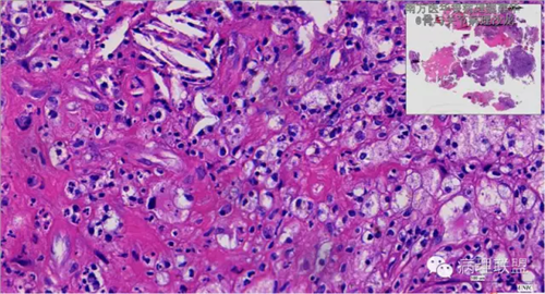
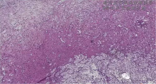
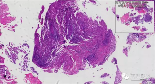
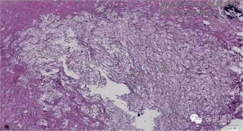
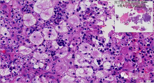
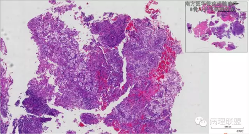
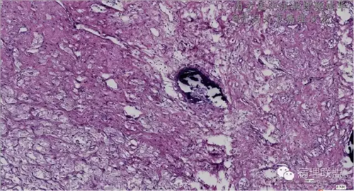
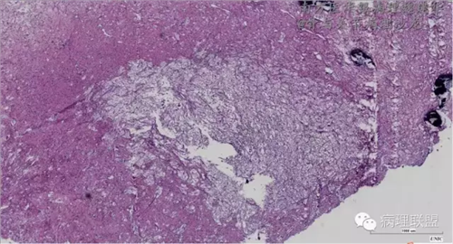
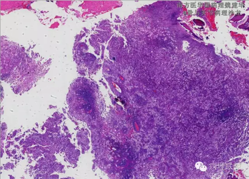
来源于组织细胞的相似性骨病ECD vs RDD 看图说话
作者:管理员
时间:
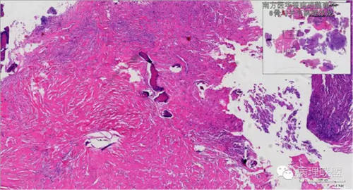
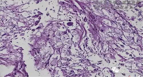
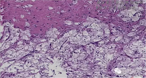
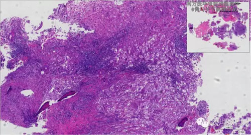
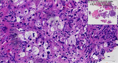
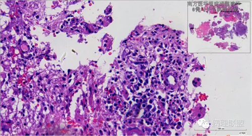
病例由南方医华银病理魏建华提供,致谢。

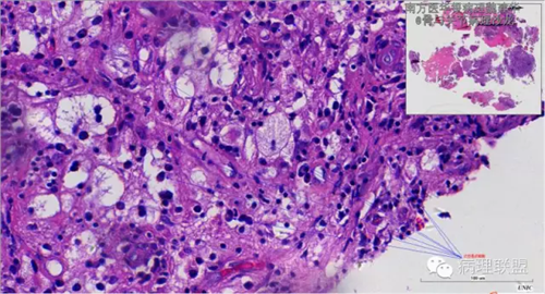
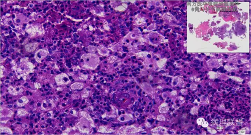
病例由南方医华银病理魏建华提供,致谢。
Copyright © 2015 广州华银医学检验中心有限公司 版权所有 粤ICP备14054759号-2