
亚专科 ▪ 微信汇
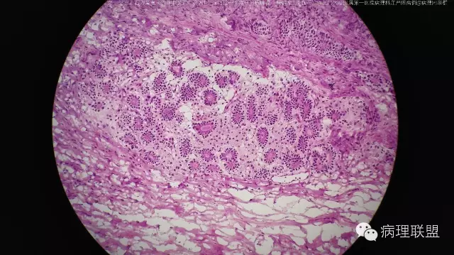
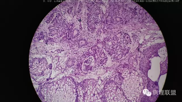
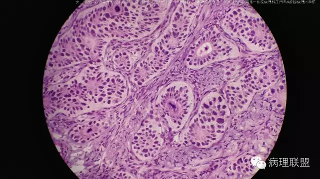
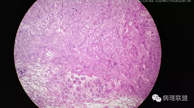
右卵巢囊实性肿物头节-混合性生殖细胞一性索一间质肿瘤(畸胎瘤+性腺母)
作者:庄严阵
时间:
承蒙庄严阵大夫许可
庄严阵,女,厦门大学附属第一医院病理科主任医师。1984年毕业于福建医科大学,从事临床病理诊断工作32年。现任福建省厦门市病理质量控制中心副主任。
下一篇:
无











