
亚专科 ▪ 微信汇
F/20 宫腔赘生物
作者:管理员
时间:
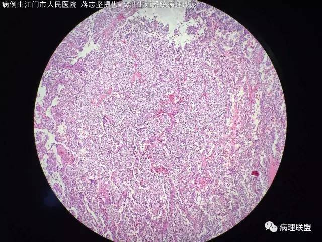
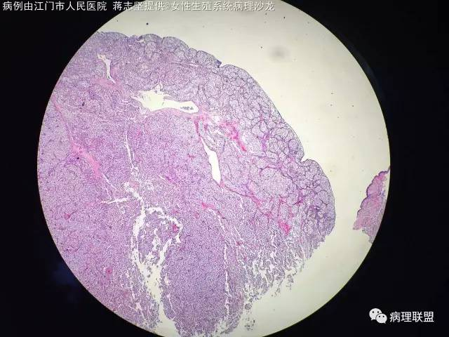
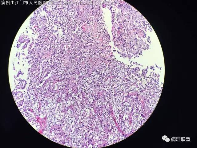
女,20岁,宫腔赘生物,子宫下段后壁2×1×1cm,HCG 不高,一年前卵巢手术,病理,浆液性囊性腺纤维瘤,本次宫腔镜手术(病例由江门市人民医院 蒋志坚提供,致谢!)
上一篇:
F/27 宫颈活检 特殊细胞

女,20岁,宫腔赘生物,子宫下段后壁2×1×1cm,HCG 不高,一年前卵巢手术,病理,浆液性囊性腺纤维瘤,本次宫腔镜手术(病例由江门市人民医院 蒋志坚提供,致谢!)
Copyright © 2015 广州华银医学检验中心有限公司 版权所有 粤ICP备14054759号-2