
亚专科 ▪ 微信汇
F/27 宫颈活检 特殊细胞
作者:管理员
时间:
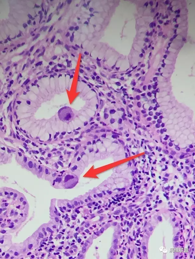
女性 27岁 宫颈活检 观察到两个特殊的细胞 请大家帮我看看 是什么呢?(西安唐都医院 王姝妹)
上一篇:
F/37 食道活检,这是哪种寄生虫?
下一篇:
F/20 宫腔赘生物











