
亚专科 ▪ 微信汇
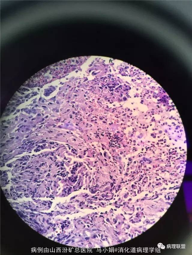
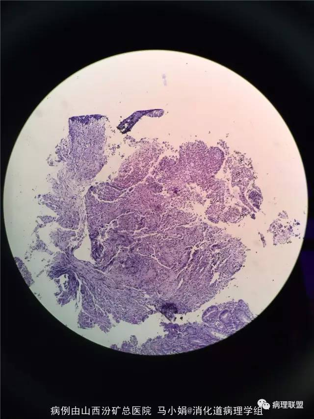
F/62 阑尾(溃疡中的肿胀的血管内皮和增生的纤维细胞)
作者:管理员
时间:
女,62,右下腹疼痛一月,ct示,肠壁增厚,肠镜下可见回盲部 阑尾孔周围不规则隆起,黏膜充血水肿伴糜烂
(病例由山西汾矿总医院 马小娟提供,致谢!)
上一篇:
引产胎儿回盲部及升结肠肠壁镜检
下一篇:
F/37 食道活检,这是哪种寄生虫?
















