系统检测出您的资料尚未完善!亲!快去完善资料吧。
您好,欢迎来到临床病理联盟  
搜 索
您当前位置:首页 -- 亚专科 ▪ 微信汇 -- -- 引产胎儿回盲部及升结肠肠壁镜检
引产胎儿回盲部及升结肠肠壁镜检
作者:管理员
时间:

基本资料

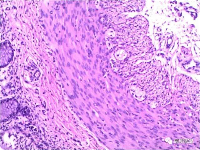
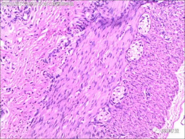
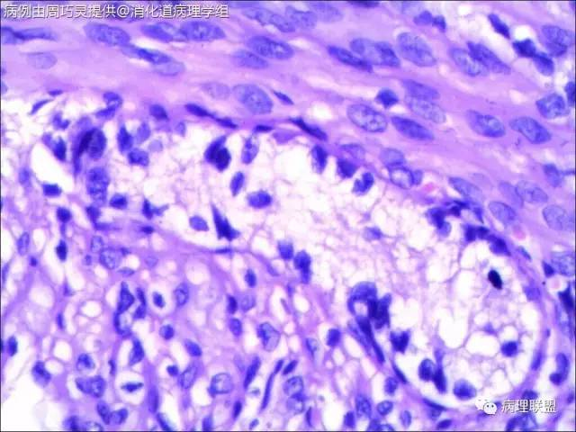
引产胎儿,小肠扩张,肠管回盲部以下直径<回盲部以上。取回盲部及升结肠肠壁镜检。(病例由周巧灵提供,致谢!)

图片信息
病例讨论

周巧灵

请教各位老师,这些神经节是否正常?是先天性巨结肠吗?正常胎儿的神经节细胞也是核大核仁大的细胞吗?

石雪迎

@周巧灵 如果怀疑先天性巨结肠要取扩张肠段的远端狭窄处,看有无节细胞缺乏

周巧灵

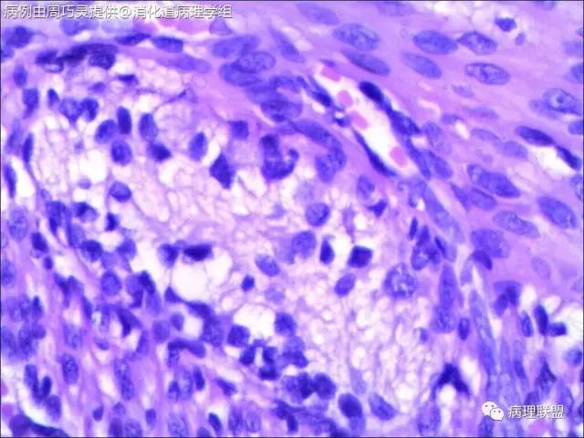
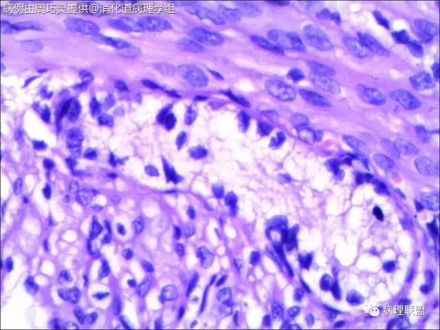
@石雪迎 石老师,取的就是扩张肠管远端狭窄处,刚好就是回盲部。我在肠壁中见到比较多的神经节,但是里面很少见正常成熟的神经节细胞,应该是支持巨结肠的。不过,我不知道,胎儿时期肠壁正常的神经节是啥样子,所以,不太敢确定,还请老师指点。

这是我在图片中仅见的几个节细胞

石雪迎

@周巧灵 抱歉看错了,以为是结肠扩张。不知道是多大周数引产的胎儿?理论上4个月的胎儿肠神经丛就完成从近端到远端的分布,但直到出生,神经节里的都有不成熟的节细胞。您的图片里确实大部分都没有成熟神经元,但有的似乎不能排除有不成熟神经元,可以染NSE看看,如果还有,诊断HD就没有依据了。中华病理杂志曾经发表过何乐健教授等写的一篇HD病理诊断规范,尤其是有关取材的建议很实用,不妨参考一下

周巧灵

@石雪迎 谢谢石老师,是33周引产的


地址:广州市广州大道北1838号南方医科大学生命科学楼二楼   服务热线:400-888-1223 传真:020-62789556 邮编:510515

Copyright © 2015 广州华银医学检验中心有限公司 版权所有  粤ICP备14054759号-2