系统检测出您的资料尚未完善!亲!快去完善资料吧。
您好,欢迎来到临床病理联盟  
搜 索
您当前位置:首页 -- 亚专科 ▪ 微信汇 -- -- M/54,后颈部肿块
M/54,后颈部肿块
作者:管理员
时间:

基本资料

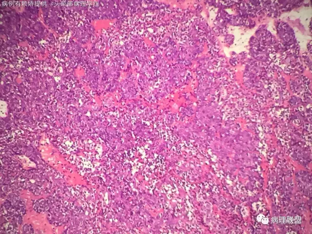
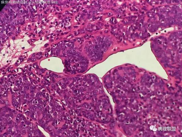
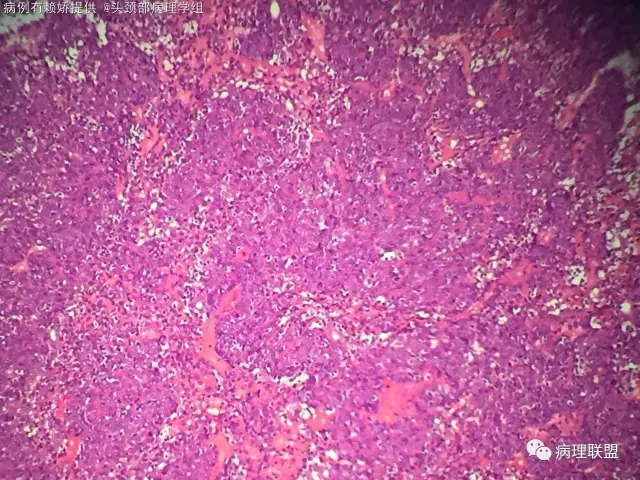
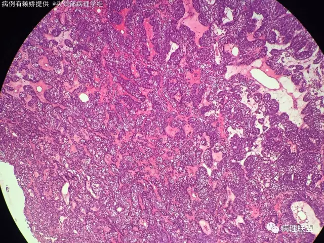
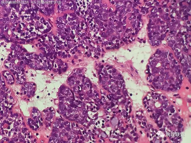
男,54岁,后颈部肿块10年(病例由赖娇 提供,致谢!)

图片信息

病例讨论

周泉

小汗腺螺旋腺瘤

赖娇

谢谢周老师,血管周细胞瘤要鉴别吗?

梅宜兼

这两个要怎么鉴别?周老师!

周泉

@梅宜兼 本例明显呈上皮巢排列,肿瘤由两种细胞构成外层呈栅栏状排列细胞小核染色深,另一种为咯略大淡染隐约可见小核仁的腺上皮细胞!间质可富裕血管,水肿及少量基底膜样物质!另外还有个特点散在淋巴细胞!该肿瘤肉眼看切片给人第一印象像个淋巴结!

张仁亚

有时候看上去像圆柱瘤

地址:广州市广州大道北1838号南方医科大学生命科学楼二楼   服务热线:400-888-1223 传真:020-62789556 邮编:510515

Copyright © 2015 广州华银医学检验中心有限公司 版权所有  粤ICP备14054759号-2