
亚专科 ▪ 微信汇
F/63 反复髋关节疼痛30年,活动受限2周;骨肉瘤?
作者:管理员
时间:
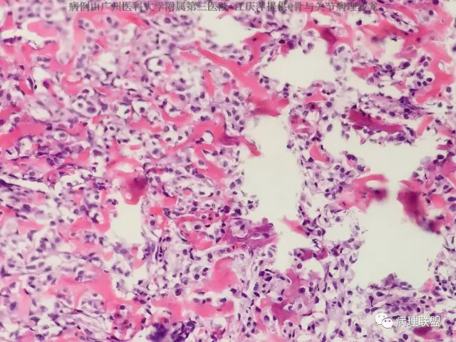
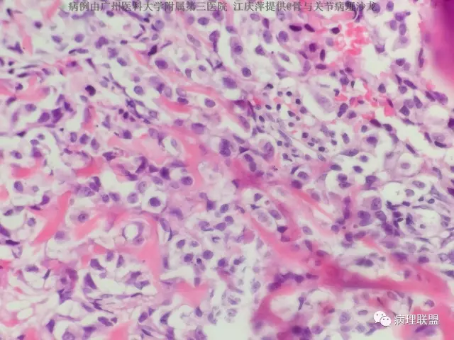
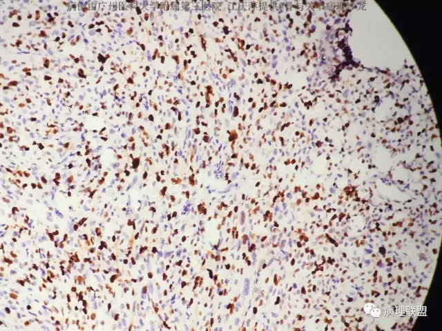
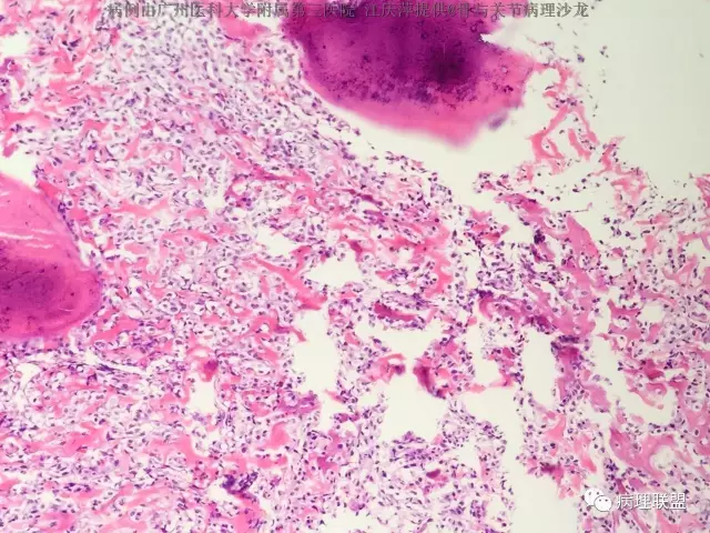
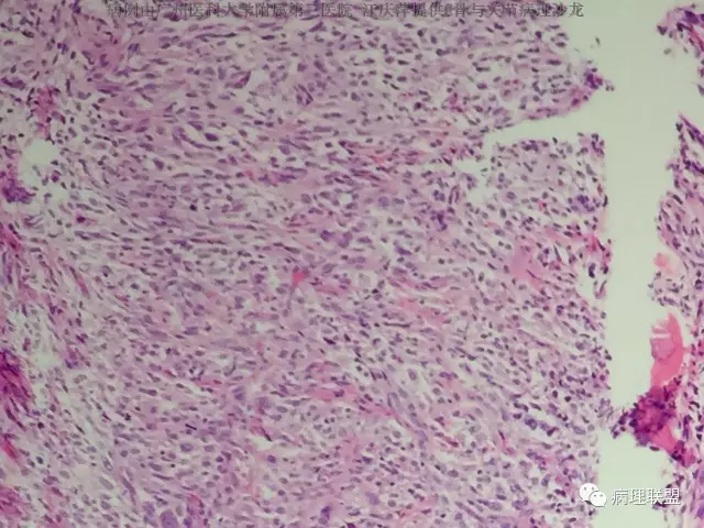
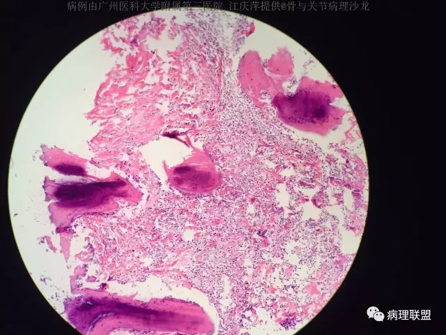
女,63,反复髋关节疼痛30年,活动受限2周(病例由广州医科大学附属第三医院 江庆萍提供,致谢)

下一篇:
M/54,后颈部肿块

女,63,反复髋关节疼痛30年,活动受限2周(病例由广州医科大学附属第三医院 江庆萍提供,致谢)

Copyright © 2015 广州华银医学检验中心有限公司 版权所有 粤ICP备14054759号-2