
亚专科 ▪ 微信汇
M/69 脾破裂
作者:管理员
时间:
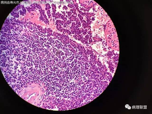
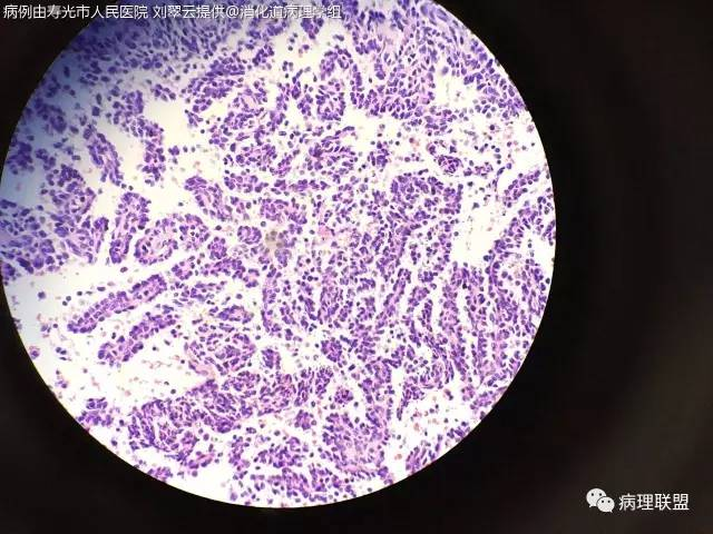
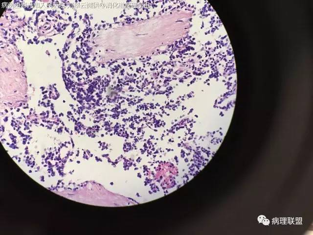
男69 岁,脾破裂,脾切除(病例由寿光市人民医院 刘翠云提供,致谢!)
上一篇:
【病理技术】刚果红染色技术及应用
下一篇:
MMR四个蛋白的判读
















