系统检测出您的资料尚未完善!亲!快去
完善资料
吧。
自动登录
忘记密码?
企业微信验证码登录
用户名密码登录
您好,欢迎来到临床病理联盟
搜 索
首页
亚专科▪微信汇
妇科病理沙龙
消化道病理沙龙
甲状腺病理沙龙
骨与关节病理沙龙
软组织病理沙龙
细胞病理沙龙
呼吸道病理沙龙
皮肤临床病理沙龙
乳腺病理沙龙
肾脏临床病理沙龙
中枢神经系统
病理沙龙
头颈部病理沙龙
淋巴造血病理沙龙
白草堂
每周读片
病理联盟
专业培训
模拟诊断
视频教学
名师介绍
病理资讯
政策公告
年会阅片
本站新闻
会议通知
分子病理及
精确医疗
亚专科 ▪ 微信汇
分子病理
消化道病理
淋巴造血系统病理
妇科病理
甲状腺病理
骨与关节病理
软组织病理
细胞病理学
呼吸道病理
皮肤临床病理
肾脏临床病理
乳腺病理
头颈部病理
中枢神经系统病理
临床病理基础
每周读片
白草堂
您当前位置:
首页
--
亚专科 ▪ 微信汇
--
--
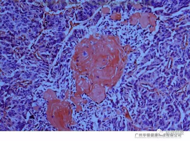
【病理技术】刚果红染色技术及应用
【病理技术】刚果红染色技术及应用
作者:管理员
时间:
2017-05-19
刚果红染色技术及应用
上一篇:
第34期病理联盟直播课堂:江庆萍大夫为您带来"子宫内膜诊断常见问题”
下一篇:
M/69 脾破裂
地址:广州市广州大道北1838号南方医科大学生命科学楼二楼
服务热线:400-888-1223
传真:020-62789556
邮编:510515
Copyright © 2015 广州华银医学检验中心有限公司 版权所有
粤ICP备14054759号-2