
亚专科 ▪ 微信汇
F/50 TCT
作者:管理员
时间:
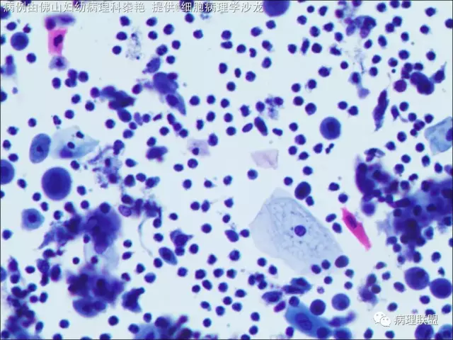
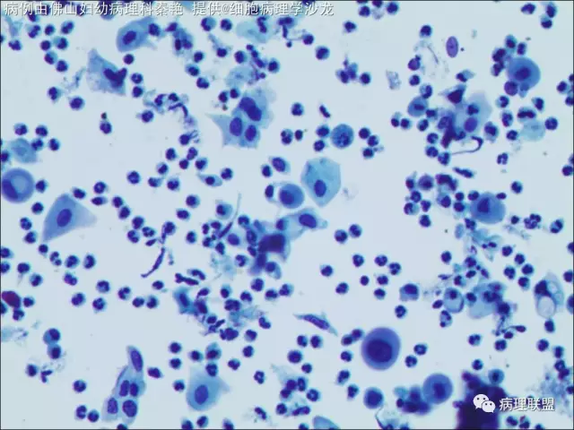
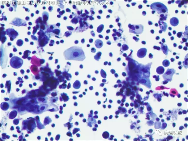
tct ,女性,体检,50岁,片子染色深了些,请教各位老师的意见,谢谢!(病例由佛山妇幼病理科 秦艳提供,致谢!)
上一篇:
F、67股骨下端肿物约6cm
下一篇:
M/59右肾下极肿物































