系统检测出您的资料尚未完善!亲!快去完善资料吧。
您好,欢迎来到临床病理联盟  
搜 索
您当前位置:首页 -- 亚专科 ▪ 微信汇 -- -- 【初级医生容易犯迷糊】M/54 回盲部(炎性肉芽组织肿胀的血管内皮细胞误为异型细胞)
【初级医生容易犯迷糊】M/54 回盲部(炎性肉芽组织肿胀的血管内皮细胞误为异型细胞)
作者:管理员
时间:

基本资料

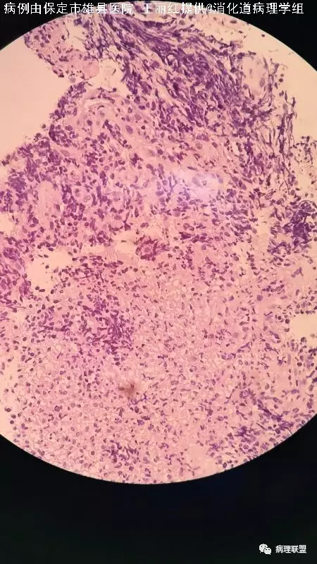
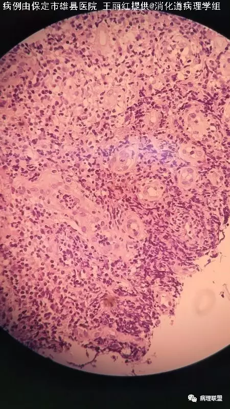
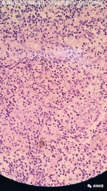
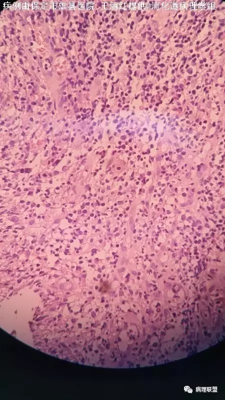
男性54岁回盲部(病例由保定市雄县医院王丽红提供,致谢!)

图片信息
病理讨论

鄢化章

腺体缺失,细胞异型明显,这个还是需要免疫组化勾勒一下

弯雪燕

肉芽肿

王丽红

不像是肉芽肿,有异型细胞

石雪迎

@王丽红 炎性肉芽组织,有肿胀的血管内皮,您认为哪些细胞有异型?

卢洪胜

肉芽组织

王丽红

@石雪迎 感谢石老师指导!那些大个的细胞是血管内皮细胞,学习了!再次感谢!

地址:广州市广州大道北1838号南方医科大学生命科学楼二楼   服务热线:400-888-1223 传真:020-62789556 邮编:510515

Copyright © 2015 广州华银医学检验中心有限公司 版权所有  粤ICP备14054759号-2