
亚专科 ▪ 微信汇
【奇文】【人体中的‘活’植物】M/59重度颅脑外伤右上肺尖段新生物刷片
作者:管理员
时间:
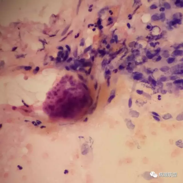
男,59岁,支气管刷片,患者重度颅脑外伤,右上肺尖段新生物刷片(病例由衡阳南方医院病理科钱红 提供,致谢!)
下一篇:
无

男,59岁,支气管刷片,患者重度颅脑外伤,右上肺尖段新生物刷片(病例由衡阳南方医院病理科钱红 提供,致谢!)
Copyright © 2015 广州华银医学检验中心有限公司 版权所有 粤ICP备14054759号-2