
亚专科 ▪ 微信汇
骨髓瘤相关的管型肾病引起的肾小管-间质损伤
作者:管理员
时间:
53岁男性患者。

专家解答
南方医科大学 耿舰
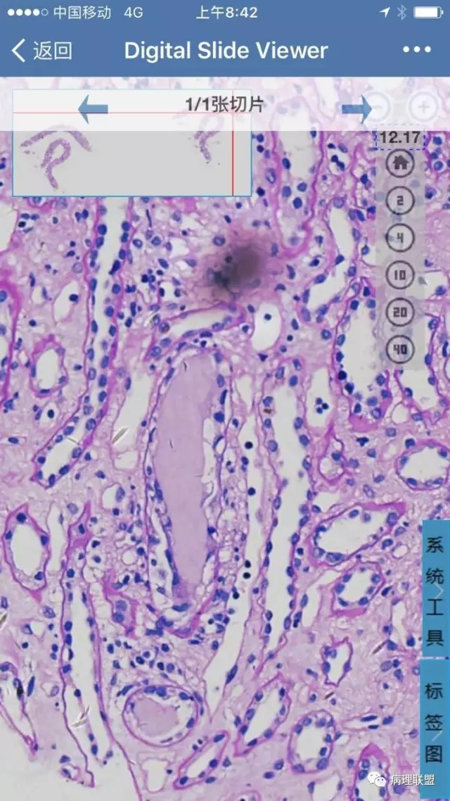
因患者主要是肾功能变化,光镜下除了少数肾小球硬化,其余肾小球病变较轻,免疫荧光阴性,所以报告就按照急性肾小管-间质损伤发了,后来临床反馈患者有骨髓瘤病史,经仔细寻找,在肾髓质远端小管内发现极少量PAS染色很淡的管型。
在数字切片中需要仔细寻找才能找到这个部位

最终诊断为骨髓瘤相关的管型肾病引起的肾小管-间质损伤,从这个病例中也可以看到,肾脏病理与临床紧密结合的重要性,特别是在一些病变不是很典型的时候,需要病理医生与临床医生密切配合才能达到更准确的诊断。











