
亚专科 ▪ 微信汇
69岁,鼻翼肿物2年,1.5厘米大小(毛胚瘤?)
作者:管理员
时间:
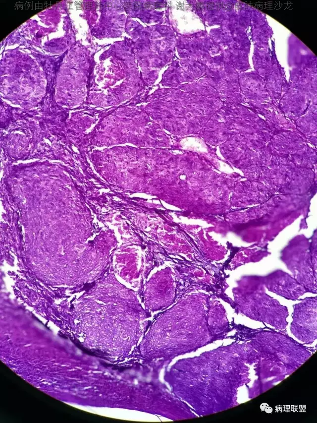
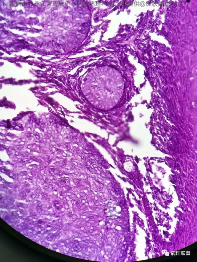
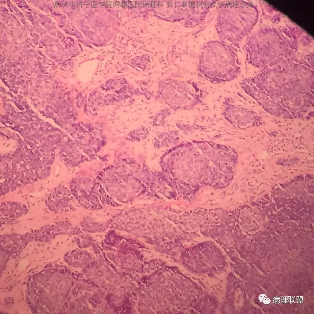
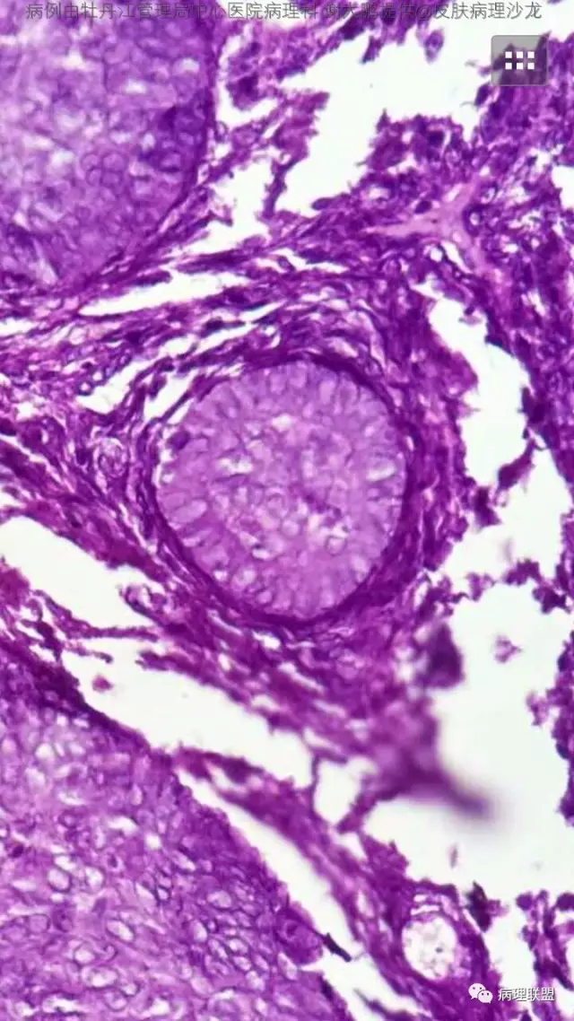
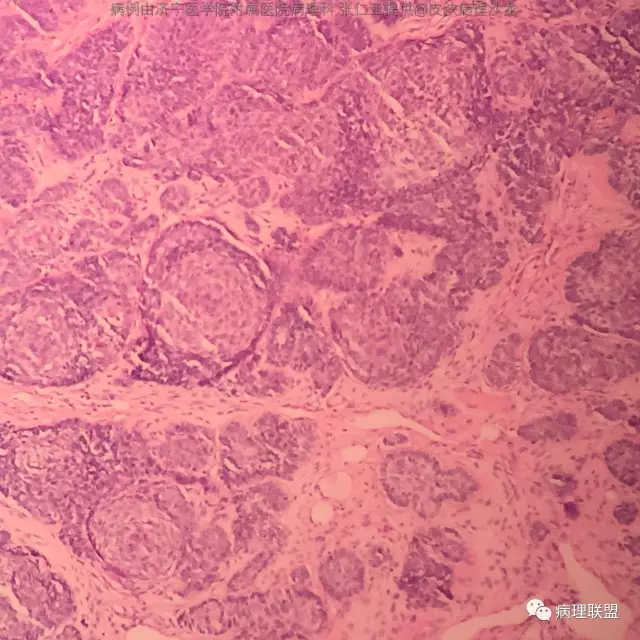
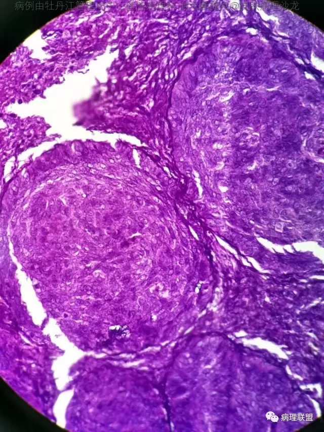
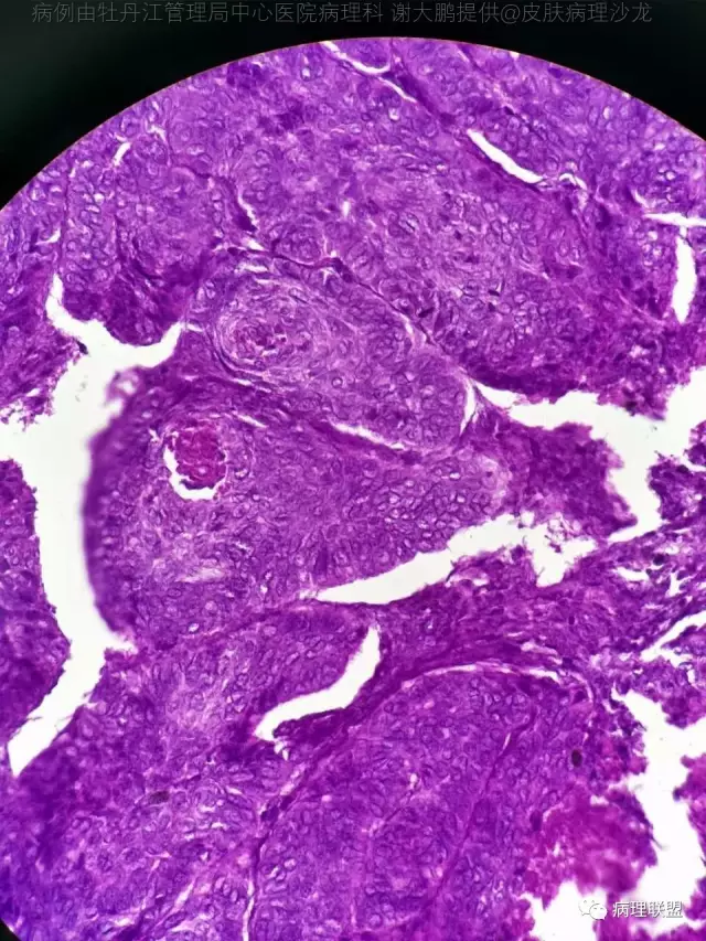
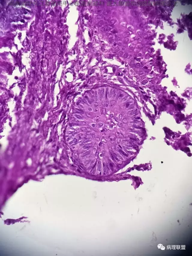
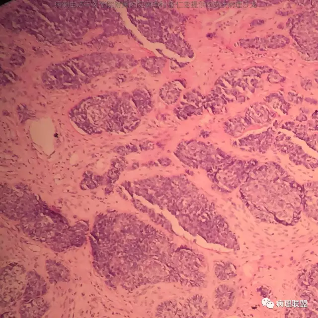
69岁,鼻翼肿物2年,1.5厘米大小,麻烦老师们帮忙看看,谢谢(病例由牡丹江管理局中心医院病理科 谢大鹏提供,致谢!)
上一篇:
M/62腺性膀胱炎不明原发病灶

69岁,鼻翼肿物2年,1.5厘米大小,麻烦老师们帮忙看看,谢谢(病例由牡丹江管理局中心医院病理科 谢大鹏提供,致谢!)
Copyright © 2015 广州华银医学检验中心有限公司 版权所有 粤ICP备14054759号-2