
亚专科 ▪ 微信汇
F/38 下腹腔肿块——刘从容教授语音解读
作者:管理员
时间:
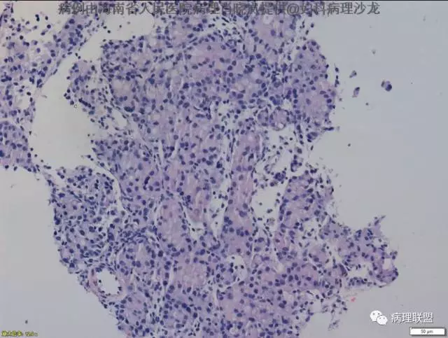
女,38岁,下腹腔肿块。B超示盆腔囊实性包块。临床诊断卵巢肿瘤。
(病例由海南省人民医院病理肖晓岚提供,致谢! )
疑问
是癌么?有没有可能是性索间质肿瘤呢?
不考虑性索间质
刘从容语音解读:
上一篇:
F/67头皮肿物(BCCvs毛母)
下一篇:
无






























