系统检测出您的资料尚未完善!亲!快去完善资料吧。
您好,欢迎来到临床病理联盟  
搜 索
您当前位置:首页 -- 亚专科 ▪ 微信汇 -- -- F/67头皮肿物(BCCvs毛母)
F/67头皮肿物(BCCvs毛母)
作者:管理员
时间:

基本资料

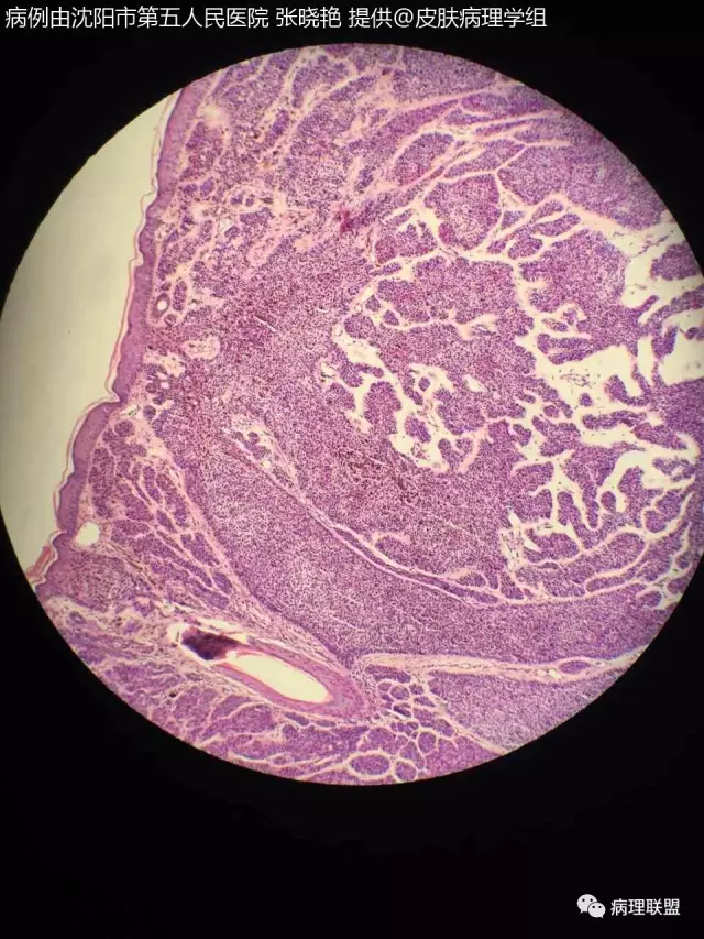
女67头皮肿物5年,带皮组织1x0.5×0.5灰黑色(病例由沈阳市第五人民医院 张晓艳 提供,致谢!)

图片信息
病例讨论

武警总队嘉兴医院 周泉

BCC

封丘县人民医院 王尚凯

倾向毛母 ,建议AR,Bcl_2,cD10,ck14

沈阳市第五人民医院 张晓艳

我倾向BCC本例巢团周围有收缩间隙,间质疏松粘液样,而毛母周围无收缩间隙,间质是纤维化间质。所以本例倾向BCC

南方医科大学邓永键

BCC与毛母区别,没有任何意义。做免疫组化也没有多少帮助。因临床意义一样,自然就不必纠结。大家形成共识,首诊是哪个,我们就认哪个,会诊时别自称专家,以免给同行增加麻烦。

沈阳市第五人民医院 张晓艳

@邓永键 治疗有差别没?

南方医科大学邓永键

治疗也差别,一刀干完。BCC即便没有切完,等复发后再切不迟。BCC转移概率不到千分之一,估计转移的那例是误诊的

湖南省直中医院 甄时建

@邓永键 ,长见识了,下次不必那样纠结了,请问邓老师,哪本书上有这种说法?

南方医科大学邓永键

哪本书也没有说,大多数书都说了,只有这个群里才真说。法古不食古,经验是最有效的统计。@甄时建 纠正一下说辞:治疗无差别


地址:广州市广州大道北1838号南方医科大学生命科学楼二楼   服务热线:400-888-1223 传真:020-62789556 邮编:510515

Copyright © 2015 广州华银医学检验中心有限公司 版权所有  粤ICP备14054759号-2