系统检测出您的资料尚未完善!亲!快去完善资料吧。
您好,欢迎来到临床病理联盟  
搜 索
您当前位置:首页 -- 亚专科 ▪ 微信汇 -- -- M/53 左手食指包块(皮肤鳞癌VS转移性鳞癌)
M/53 左手食指包块(皮肤鳞癌VS转移性鳞癌)
作者:管理员
时间:

基本资料

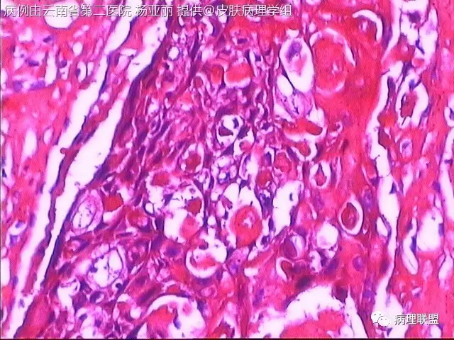
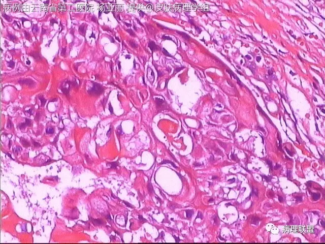
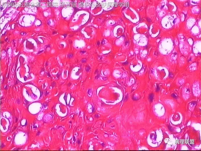
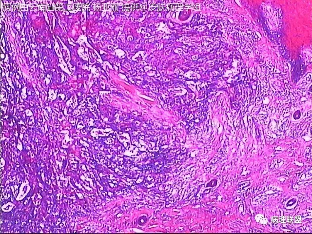
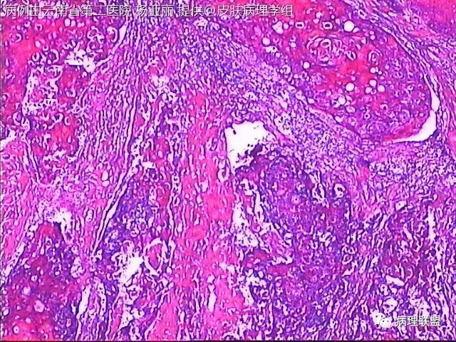
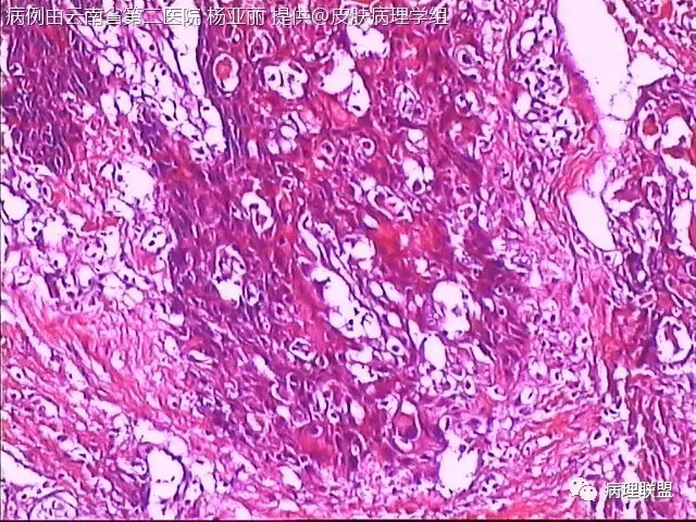
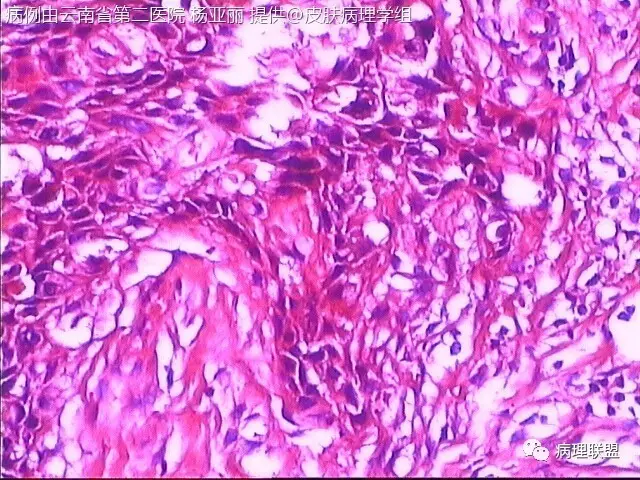
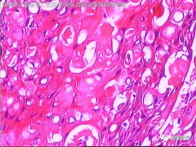
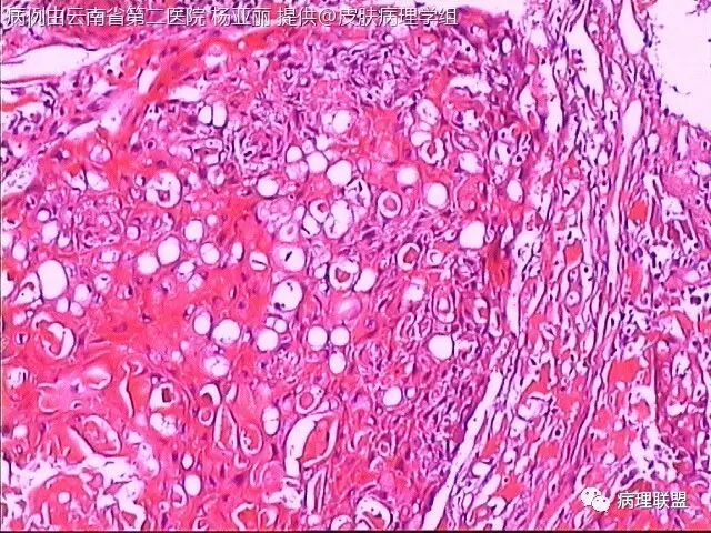
请各位老师帮忙看看,男性,53岁,左手食指包块 (病例由云南省第二医院 杨亚丽 提供,致谢!)

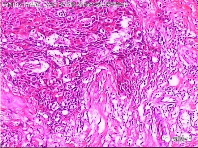
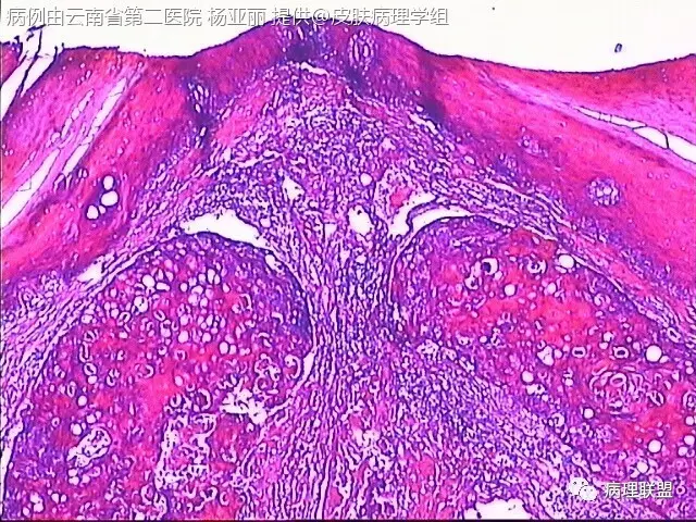
图片信息
病例讨论

南方医科大学 邓永键

鳞癌没有问题。问题是否是转移癌:有否与表皮相连,病史演变如何?

云南省第二医院 杨亚丽

@邓永键 谢谢邓主任,据说病人鼻子上有肿瘤才来切的手上的小包块,右手有,左手也有三四个,等我再问问鼻子上的是什么。看着细胞异型不明显,生长方式倒是确实不好。第6图有和表皮的关系,不相连,邓老师,鼻子上的肿瘤确实是鳞癌,这么说来手上的是转移的就很合理了。邓主任真是高,佩服!

南方医科大学 邓永键

贴一个表,供大家参考

地址:广州市广州大道北1838号南方医科大学生命科学楼二楼   服务热线:400-888-1223 传真:020-62789556 邮编:510515

Copyright © 2015 广州华银医学检验中心有限公司 版权所有  粤ICP备14054759号-2