
亚专科 ▪ 微信汇
F/45 双侧甲状腺(乳头状结构VS乳头状癌)
作者:管理员
时间:
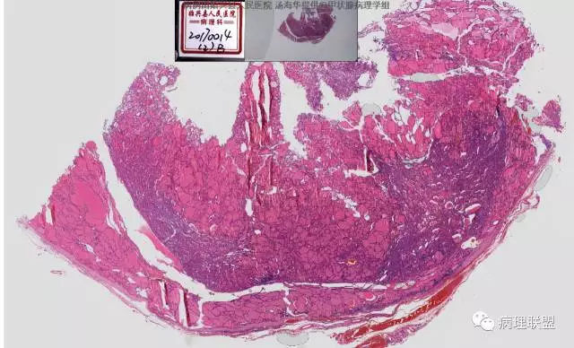
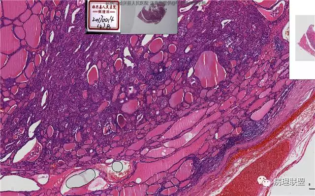
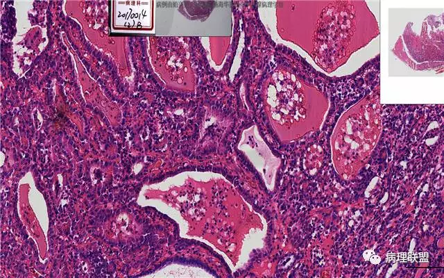
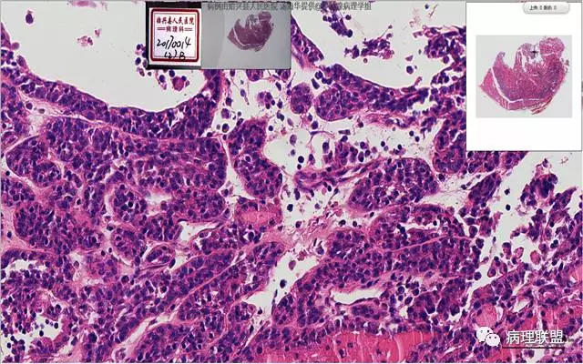
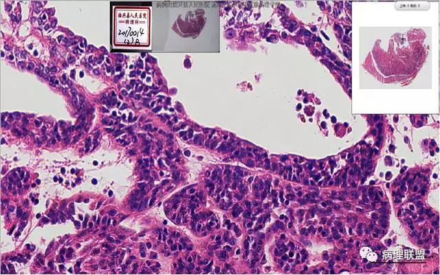
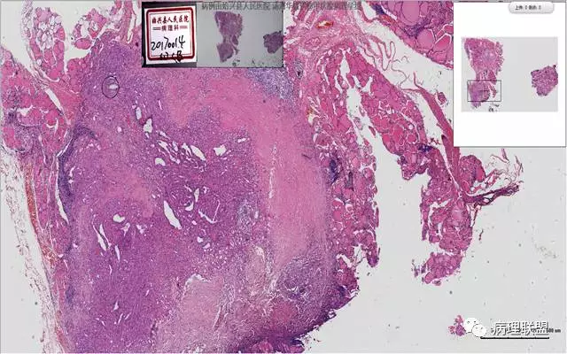
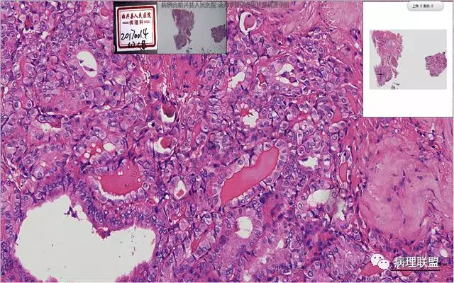
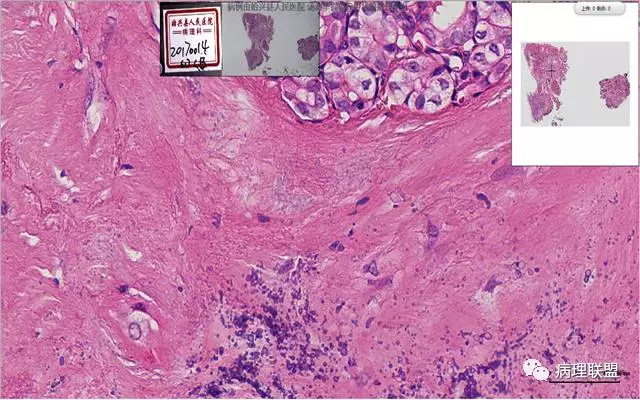
患者,女,45岁,发现双侧甲状腺肿物半月余。大体所见:左侧甲状腺肿物:4.3*5*4cm肿物一个,包膜完整,光滑,质脆,中央见出血。右侧甲状腺组织:3*1.6*1.5cm及1*1*0.8cm组织两块,其中较大的组织切开见内有0.8cm及1.2cm两个,质硬,灰白色,界不清,较小的,切开见灰黄色,质脆。
(病例由始兴县人民医院 汤海华提供,致谢!)
上一篇:
M/60 肠系膜结节(寄生虫VS植物)


























